返回顶部
突然变丑、性情突变?怎么回事?专家:警惕垂体腺瘤!
文/羊城晚报全媒体记者 薛仁政 通讯员 庄灿彬 赵洲洋 游华玲
近日,原本乐观、爱笑的张婆婆最近总是无精打采、不愿言语、表情呆滞,且经常漫无目的地到处走动。
老人突然性情大变,子女以为其心情不好所致,没有在意。一段时间后,张婆婆的症状愈演愈烈,行为变得越来越古怪,精神状态也越来越差,还经常叨咕头疼、眼睛疼,吃饭要哄着吃,简直变成了小孩。家属遂带其前往南方医科大学第三附属医院(下简称“南医三院”)就诊。
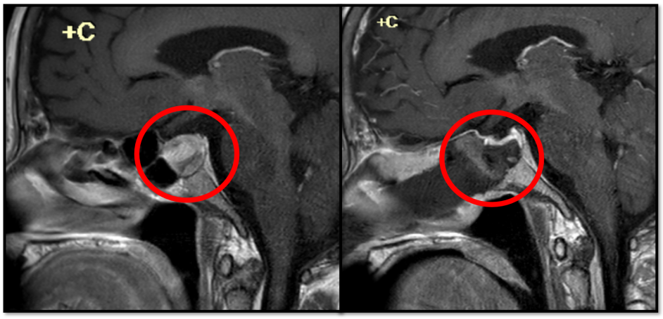
通过相关检查,医生明确了病因:患者鞍区占位(垂体腺瘤)伴出血导致内分泌功能障碍,进而出现的一系列行为异常的症状。该院神经外科手术治疗团队很快为其制定了相应的手术治疗方案,肿瘤完全切除。出院时阿婆完全恢复了正常状态,露出了久违的笑容。

面部臃肿、症状多发,竟是垂体腺瘤
无独有偶,半年前36岁的郑女士开始出现面部臃肿似满月,全身肥胖水肿并周身分布红紫色条纹,对于“变丑”这件事郑女士非常焦虑。更为严重的是,郑女士渐渐出现了高血压、糖尿病、心力衰竭、骨质疏松等老年性疾病。
焦急的郑女士和家里人多处辗转,看了很多医院和很多不同的科室也没查到根本病症所在。
前往南医三院就诊后,该院神经外科医生结合患者存在多器官症状以及辅助检查结果,很快安排了院内多学科会诊,综合多学科专家意见,立即进行了“颅内岩下窦采血”检查,最终得出了确定诊断:郑女士患上了促肾上腺皮质激素型垂体腺瘤。
经鼻内镜手术治疗,肿瘤完整切除。术后患者每日以肉眼可见的速度消肿,居高不下的血压也逐日下降,患者和家属悬着的心也终于放了下来。
垂体腺瘤多为良性,但易漏诊误诊
据南医三院神经外科主任黄理金介绍,垂体腺瘤属于鞍区最常见的肿瘤,且大多为良性肿瘤,主要是脑垂体在生长过程当中出现局部细胞异常分裂和增殖,从而形成肿瘤,有可能影响垂体的功能,从而导致内分泌失调。
如果肿瘤的体积偏大,会造成周围神经组织的压迫,从而引发神经功能障碍,比如导致视力下降以及视野缺陷,甚至会引起颅内压增高,引发头痛以及呕吐的表现。
垂体腺瘤虽然是良性疾病,但是症状千奇百怪,容易漏诊误诊。有的患者可能无任何临床症状,而有的患者可能存在神经系统症状。
临床上,有两种情况是需要治疗的。第一种情况是肿瘤瘤体过大,压迫神经,一般是视神经,早期可引起视力下降、视野缺损等。第二种情况是垂体腺瘤影响正常的人体激素分泌,出现各种难以解释的症状,人体几乎所有激素都和垂体有关。
目前垂体腺瘤的治疗方法有三种,药物治疗、手术治疗和放射治疗,大多数患者手术治疗可经鼻窦内镜微创手术达到治愈,部分患者需要进行开颅手术切除。
专家提醒,垂体腺瘤虽然“个头”不大,但危害不小,发现后需要尽早对它进行临床干预。对于药物不能控制的肿瘤类型,可以通过手术切除肿瘤,解除肿瘤对周围组织的压迫,缓解症状。
返回顶部
