返回顶部
【视频】女孩突然癫痫发作,竟是11厘米长活虫脑内捣乱
文/羊城晚报全媒体记者 林清清 通讯员 张小美
图、视频素材/医院提供
视频剪辑/羊城晚报全媒体记者 林清清 实习生 李可欣
肇庆一名18岁女生,两次突然出现全身抽搐、失去意识。到医院一查才发现,其癫痫发作的原因是寄生虫在脑袋里“捣乱”。日前,医生通过开颅手术,成功从脑内抓取出一条长约11厘米的活虫。

突然癫痫发作,两次症状不同
彤彤(化名)是肇庆某职校的一名学生。去年10月24日,正和同学在宿舍吃午饭的彤彤,突然四肢抽搐、意识不清,过了几分钟才恢复正常。“清醒过来时,我正被几个同学扶着在去校医室的路上,我还觉得莫名其妙,完全不知道发生了什么。”听同学描述起发病情形时,彤彤也吓了一跳,“以前从没出现过,我还经常运动。”
彤彤在当地医院检查左侧额顶叶脑软化灶形成,被诊断为癫痫,开始服药治疗。1月23日,再次出现癫痫发作。为寻求进一步诊疗,彤彤在家人陪同下来到广东三九脑科医院癫痫中心。
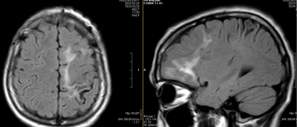
该院神经外八科(癫痫外科)副主任陈俊喜接诊患者后,发现患者左侧额叶存在多发病变,且两次发作症状不尽相同,怀疑是寄生虫感染。进一步检查结果提示:裂头蚴IgG抗体阳性;视频脑电图显示:左侧额顶叶多发放电。
“多发脑软化灶实为虫体在颅内爬行产生的损伤。”陈俊喜补充介绍,“患者癫痫发作的根源在于寄生虫对大脑的炎性刺激,造成大脑异常放电。”

神外医生手术抓取11厘米长活虫
通过间隔2周的观察,专家团队最终精准定位到寄生虫位于患者左侧额叶前部,并在三维脑上描记了虫体位置。2月21日,陈俊喜带领团队为患者实施寄生虫抓取及肉芽肿切除术,顺利“活捉”一条长约11厘米的裂头蚴,连同“虫窝”也一并切除了。
虫子是如何进入到彤彤脑子里的呢?陈俊喜怀疑可能与其幼时多次饮用生水有关。
据彤彤回忆,她自幼生活在农村,小时候不懂事,渴了就直接喝井水、生水。陈俊喜解释,脑裂头蚴病多见于饮用未煮开的井水、山泉水,食用半生不熟的蛙、蛇或猪肉,以及局部敷贴生蛙肉、蛇皮等人群。感染裂头蚴后,患者可出现肢体抽搐、麻木、无力、阵发性头痛,严重时昏迷或伴喷射状呕吐等。一旦明确诊断,主要依靠手术抓取活虫。
因此,陈俊喜也提醒市民朋友,日常生活中不可进食生水、生蛙、生蛇肉,勿用蛙肉和蛇皮敷伤口,切生、熟肉的刀及菜板要分开。
校对 | 赵丹丹
返回顶部
