临床上,声音嘶哑是甲状腺癌术后常见的并发症之一。因甲状腺旁边有两对纤细的神经,一对叫喉返神经,另一对叫喉上神经。甲状腺手术操作中,很容易会对喉返神经、喉上神经造成损伤,引发声带活动障碍,进而造成声音沙哑甚至失声。这种损伤可能是暂时性的,也可能是永久性的。
对于大部分人来说,轻微的声音嘶哑并不会影响日常生活,但是,对于一些特殊职业群体来说,比如声乐老师,发声的变化就有可能终止她的职业生涯。
声乐老师喉咙不适
检查后竟发现巨大甲状腺肿瘤
李女士从事声乐教学工作多年,长期为艺考生提供培训指导。最近一段时间,李女士总感觉喉咙里有异物,脖子两侧隐约有痛感,触摸后还能感觉到肿大的淋巴结。
“该不会长瘤子了吧?”不敢大意的李女士来到山东省立第三医院就诊。
在甲状腺乳腺外科张金庆主任的门诊,经过触诊,张金庆发现患者甲状腺左侧叶肿大明显。在完善相关检查后,根据肿物的形态、边际、硬度等特点,张金庆判断李女士肿瘤的恶性程度较高,且有颈部淋巴结转移迹象,随即将其收治入院。
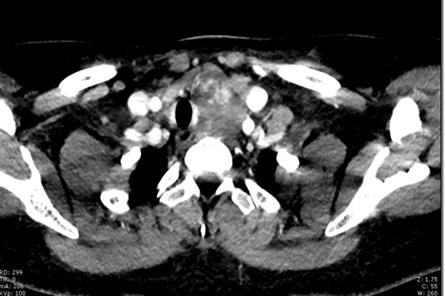
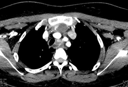
通过完善颈部增强CT、肺CT、纤维喉镜等相关检查,结果显示患者甲状腺左侧叶的巨大肿瘤已经挤压得气管严重右偏,部分腺体已经生长到了胸骨后,而且甲状腺的最下端已经深入到主动脉弓的位置。
张金庆介绍,当看到检查报告后,我也很惊讶。随着健康查体的普及,甲状腺恶性肿瘤在体积较小时就可以被发现,像李女士这样肿瘤生长到如此巨大竟还没察觉,临床上确实不多见。


甲状腺乳头状癌会复发、会转移、会影响寿命,手术切除势在必行。意识到病情严重性后,李女士对延误了治疗懊悔不已,并请求说:“张主任,我知道甲状腺肿瘤切除会影响到声音,但我是一名声乐老师,嗓音就是我的生命啊……”既要完成肿瘤切除,又希望能够保留嗓音,这对主刀团队提出了严峻的挑战。
“细如发丝”神经下切肿瘤
术后声音依然清脆响亮
因李女士甲状腺瘤体较大,与两对神经的黏连情况更为复杂,如何在不伤害细如发丝的神经前提下,完整切除巨大的肿瘤,甲状腺乳腺外科张金庆主任团队多次商讨手术方案。为确保手术万无一失,预断术中可能发生的各种情况,做好预案应对。
术中,手术团队探查到甲状腺肿瘤质地坚硬如石,并紧紧包裹住部分气管,喉返神经被挤压严重,且与瘤体黏连紧密。向胸骨后探查发现,甲状腺肿瘤下端可触到主动脉弓分支动脉,解剖稍有偏差,便会因大出血造成无法挽救的结果。
凭借精细的操作技巧和丰富的手术经验,张金庆主任团队抽丝剥茧般分离瘤体,探测喉返神经信号完好,随后又对肿瘤侵犯的淋巴组织进行清扫,手术顺利完成。
术后第二天查房,当听到李女士如往常一样动听清脆的声音,所有医护人员都松了一口气,喜悦洋溢在医生和患者的脸上。经过精心的术后护理,李女士康复出院。医护人员还根据其术后病理结果给予了详细的术后治疗指导,不久后,李女士就能重返讲台,继续从事热爱的声乐教学工作。
张金庆主任介绍,甲状腺乳头状癌相较其他类型更易发生颈部淋巴结转移,转移率约为60%-65%,出现该情况时无需恐慌,临床医生会根据淋巴结转移的数目及区域制定后续治疗方案。淋巴结转移数目较多时,可采取碘131的内照射治疗,而对于病情轻者,则可通过口服优甲乐进行TSH抑制治疗。
来源 | 大众报业·齐鲁壹点
责编 | 吕凌棘 实习生 陈淑冰