浙江大学医学院附属第一医院消化内科季峰主任医师随身携带的小本子上,其中的一页,记录着一连串时间和数字,当月(6月)1日到26日,有7次消化内镜治疗记录,每次约5个小时,共耗时37小时38分钟。
这些是对一个9岁、从上小学起就开始吃头发的小女孩的治疗记录,背后饱含医护人员最大限度减少对小女孩创伤、想尽一切办法救治的努力。

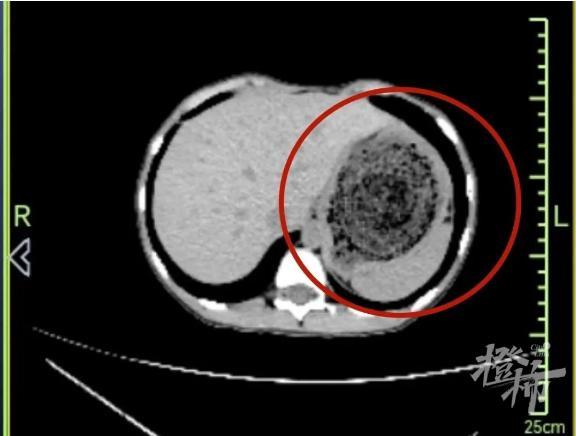
糟糕!小姑娘的胃基本被头发填满了
家住安徽合肥的小雅(化名)今年9岁,个头不高、瘦瘦小小,今年9月就要升小学三年级。
大概三四年前,父母发现在小雅的床单、被褥下总会打扫出一缕缕的头发,她时不时还会偷吃点。学校老师也发现小雅喜欢吃头发的端倪,但即使反复劝说,也没能改变她这种有些奇怪的习惯。
“小孩子嘛,对一些物体觉得好奇是正常的。”小雅爸妈觉得,随着年龄的增长,女儿的这种习惯会逐渐纠正,虽然中间小雅有几次腹痛,但吃药后都有所缓解,所以也没放在心上。
直到最近几个月,小雅上腹痛得越来越厉害,还时不时恶心、干呕,胃口越来越小。小雅看起来比同龄儿童的生长发育明显迟缓,家人带着她到当地儿童医院CT及胃镜检查后,吃惊地发现:她的胃腔已经被密密麻麻的头发填满了。大量的头发跟食物残渣裹在一起,越滚越大,越团越牢,形成了有韧性、无法消化的“胃石”,胃石长期压迫着胃壁,造成了胃多发溃疡及糜烂性胃炎,引起明显胃疼。

当地医院建议进行开腹破胃外科手术,但一想到女儿身上会留下明显的手术疤痕,一家人觉得无法接受。辗转好几家医院,但得到的结果都是:拉不出来、融不掉,内镜下取不出,只能手术开腹破胃。
“季主任,能不能帮帮我女儿,您是我们最后的希望了。”5月底,小雅一家辗转找到了浙大一院消化内科,想要继续寻求安全无创的治疗方法。经过多方打听,他们了解到季峰主任医师曾在胃镜下成功取出巨大胃发石,便带着孩子直奔杭州。
外院曾多次尝试取石失败
再拖下去可能诱发溃疡穿孔导致腹膜炎
即便是有着30余年消化内镜操作经验的季峰主任医师,看到小雅的CT报告,也不由得眉头微皱:经过长年累月的聚集,头发经过胃酸的“加工”和胃的“蠕动”,胃内的毛发结石就像被水泥封印了般,很硬;“石头”横径超过10cm、长径约20cm,充满整个胃腔,小雅的食道入口和胃出口,都比这个“石头”小很多。另外,外院曾多次尝试异物钳取石失败,再拖下去,有可能诱发溃疡穿孔导致腹膜炎,会有生命危险。
外科开腹破胃手术可能数个小时就能取出,但创伤大、会留下一个永久的腹部疤痕,可想要近乎“无创”的通过内镜取出这块巨大的“石头”,则是一场实打实的硬仗。
在家属的再三恳求下,消化内科联合麻醉科、胃肠外科等多个科室举行MDT,经过严谨的手术评估,决定尝试通过消化内镜取出小雅胃里全部的“毛发结石”。
头发缠绕成的胃石并不像普通的石头嘎嘣脆,简单的打散,用网兜兜出就行。小女孩毛发很长,加上食糜作用导致团块致密,粘性很强,需不断打散一次次取出。可是分次取出过程需要胃镜多次反复进出口腔、咽喉部、食管贲门及胃腔,为避免胃镜反复进出摩擦造成的消化道稚嫩黏膜损伤,专家团队需要特殊的设备保护消化道。
术前,消化内科多方联系厂家,终于买到了对人体无害的口咽食管透明套管,套管前端有柔软的扇形保护套,避免头发取出时胃镜及头发丝对胃黏膜的损伤及牵拉引起的贲门撕裂。
7次、近38个小时内镜手术 胃里取出近1斤多头发
6月1日,在总部一期内镜中心,季峰主任医师为小雅进行了第一次胃部“毛发结石”取出术。
为了消除小雅的恐惧,季峰主任医师化身一位和蔼可亲的爷爷,安抚小雅,给她铺上干净的床垫,还在身体与床垫接触面垫上了保护垫,避免稚嫩的皮肤长期受压损伤。小雅在亲切的叔叔阿姨们的引导下,非常听话且平稳进入了麻醉状态。
当季峰主任医师把胃镜插进入胃内,在场的医护人员惊叹,“这么大的毛发结石,该怎么取出来?”小雅胃腔空间狭小,发石量大,给操作增加重重困难。怎样既能成功歼“敌”(结石)又能保护“百姓”(胃体)的安全?
周围的医护人员眉头紧蹙,屏气凝神,只听季峰主任医师缓缓地说道“要取出这么大的结石,肯定不能操之过急,必须得安全有效”。
季峰主任医师在胃镜前端装置一个特殊长透明帽,进入胃腔,创造有利空间,然后通过多种内镜切开刀缓慢切割分离,再用异物钳及五抓钳,抓取切散的毛发一部分,从不同角度不断牵拉、抖动头发,让毛发慢慢松动,随即把头发一撮一撮地取出来。
操作过程中,季峰主任医师不断反复强调,“小娃娃胃体娇弱,在取出时不能造成胃部二次损伤,操作必须格外谨慎、细致!”还反复叮嘱助手观察小雅的导尿袋的尿量、膀胱充盈情况并及时翻动小雅的身体。
历时5个多小时,第一次手术成功取出约1/6“头发块儿”。

而后每隔2~3天,季峰主任医师及助手就在消化内镜下、娴熟运用各种工具把“毛石”打散并一点点掏出来,由于头发较长并相互缠绕及不断粘合,进程缓慢,但发石越来越小,小雅上腹疼痛症状越来越轻,医护人员信心越来越大。
前前后后一共7次内镜治疗,历时37小时38分钟,最后将小雅胃里的毛发完全取出。取出的发团大小27x17x2cm,重量足有1斤多!这比现有文献报道的消化内镜下取出的毛发结石还要大3倍多。
小雅的家长表示:“特别感谢浙大一院消化内科,专家神奇地解决了几乎不可能完成的难题,让小女避免遭受开刀的创伤。从手术方案设计到手术过程,全体医护人员全程以小朋友为中心,术后一趟一趟的巡查、关心、帮助、鼓励。感恩浙一!”
千言万语,化成一面红彤彤的锦旗。

爱上吃头发是“长发公主综合征”
异食癖的患者中,有人喜欢吃土、石块;有人喜欢吃纸屑、树皮;还有人喜欢吃肥皂、头发、指甲、橡皮擦……其中食毛癖(Trichophagia)的患者在医学界被称为“长发公主综合征”(拉庞泽尔氏综合征),它根据格林童话中的《莴苣姑娘》主角命名,是由于持续的、难以抑制地进食毛发,导致毛发在胃内积聚成胃石而发病。其中,80% 发生在儿童和30岁以下的青春期女性。
孩子异食癖最常见的成因包括缺铁、缺锌、缺硒等微量元素,适当吃一些膳食补充剂就可以很快治愈。还有一些异食癖是因为精神因素,比如焦虑、紧张、自闭、精神分裂、智力发育迟缓等。尤其是在重大的心理伤害或是压力时,有人会通过吃异物释放压力,产生快感,最后变成一种习惯,如不解决心理问题,异食癖仍有很大几率复发。
浙大一院精神卫生科专家强调,不少家长在发现孩子有进食异物的情况时,会通过打骂的方式来纠正,可能会导致孩子进食异物的行为变得更隐蔽,这样带来的后果更加严重。所以,家长、老师要加强对儿童生活习惯、异常行为及心理变化的关注,若发现孩子有进食毛发等异常行为,应及时就诊,切莫拖延。行为治疗和长期的精神卫生科随访也是异食癖治疗的重要部分。
来源 | 都市快报橙柿互动
编辑 | 刘欣宇 实习生 樊子茵