文、图/羊城晚报全媒体记者 刘欣宇 通讯员 肖颖
一名年轻妊娠期女性小倩因患恶性巨大肿瘤导致深度昏迷40多天,参与救治的多家医院专家们一致认为情况非常棘手,苏醒的可能性十分渺茫。小倩父母抱着一丝希望求助广州医科大学附属第五医院。“放弃还是接诊?”该院放射治疗科医护团队选择了后者,一场“唤醒行动”正式展开。终于,在经历了一个多月的系统抗肿瘤治疗后,小倩苏醒了!目前记者获悉最新情况,苏醒后的小倩又经过1个多月的康复治疗,已经可以进行简单的语言沟通和肢体交流。
年轻孕妈查出恶性肿瘤
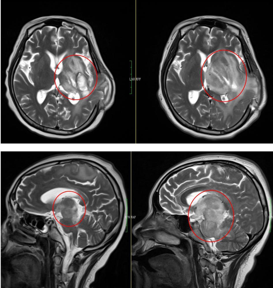
34岁孕妈小倩已怀孕约五个月,今年3月初,因右侧肢体麻木伴随乏力1个多月的问题到医院就诊,经检查发现脑部占位性病变,高度怀疑是恶性肿瘤。一般来说,此时常规做法应是立即终止妊娠,接受手术、化疗,以确保孕妈的生存。
然而出于母爱的天性,小倩一直不同意处理脑部的肿瘤。但是这种合并妊娠期的肿瘤,往往进展很快。果然,情况很快就不容乐观。3月21日,小倩在全麻下进行了左侧额顶叶占位切除术+去骨瓣减压术。术后病理提示,小倩脑部的肿瘤为高级别胶质瘤,是世界卫生组织神经系统肿瘤分类中的4级胶质瘤,为恶性程度最高的一类肿瘤。4月1日,为了更好地处理小倩的问题,医生无奈地进行了“引产术”。此后又经过多家医院神经学专家持续不断地积极治疗,小倩虽然保住了性命,但进入4月中下旬后开始变得嗜睡,直到4月底彻底进入深度昏迷状态。专家们一致认为情况非常棘手,苏醒的可能性渺茫。

小倩父母“爱女心切”,经过多方辗转,抱着一丝希望带着小倩来到了广州医科大学附属第五医院就诊。
接诊!一场“唤醒行动”正式展开
面对这种救治成功率极低的脑干巨大肿瘤的年轻妊娠期女性患者,广州医科大学附属第五医院经过多学科会诊讨论之后,最终决定让院内放射治疗科医护团队放手一搏,一场“唤醒行动”由此正式展开。
针对小倩的病情,放射治疗科负责人石兴源主任带领医护团队迅速组成治疗小组。然而治疗还未开始,问题就接踵而来:在医护人员搬运小倩时,发现她总是出现剧烈呕吐并伴有意识不清,这种不稳定情况非常不利于展开第一阶段放疗计划。
医护团队立马对此给予高频次降颅压、激素冲击等各种缓解脑水肿的治疗措施,同时也保证营养的摄入,防止反流、呛咳等症状。在医护人员的悉心照顾下,小倩的情况趋于比较稳定后,终于可以按照团队制定的放疗计划,开始接受局部脑放疗治疗,同时配合内科药物及化疗药物的使用。

在该阶段放疗计划执行期间,小倩曾一度出现高热、喉部吸出大量黄色黏稠痰的症状,由于长期卧床又曾有大量激素冲击治疗,肺部影像学也提示肺部重症感染。为了更好解决这个问题,经讨论决定后,将小倩的化疗强度减弱,逐步降低激素的使用强度,同时配合抗细菌及抗真菌治疗。功夫不负有心人,小倩肺部感染的情况好转。在科室持续近一个月的治疗后,第一期的15次放疗计划顺利完成,小倩的状态也由深昏迷转为嗜睡,肿瘤大小缩退明显。好转的情况让小倩的父母非常高兴,也更加积极配合治疗。为了更好地保护患者的脑组织,石兴源主任建议重新定位,缩野放疗,在二段放疗计划中,照射野面积大大减少,也大大降低对正常脑组织的剂量限制。
昏迷40多天的小倩成功苏醒!
小倩这位特殊患者是科室里护士们的“重点关注对象”,她们不仅全程从多方面给予护理的帮助,每天还引导小倩家属做肢体功能锻炼、胃肠道营养泵的维护、深度昏迷患者的压疮和排痰护理等等。终于,在经历了一个多月的系统抗肿瘤治疗后,在所有人的坚持和努力下,奇迹发生了!6月初,小倩苏醒了!

又经过1个多月的康复治疗,小倩已经可以与医生进行简单的语言沟通和肢体交流。 “小倩,来,试试拿个龙眼给我。”“小倩,再把龙眼再递还给我。”只见小倩缓缓地移动着左手,虽然动作稍显“笨拙”,但她的运动能力、意识都处于康复状态中。一旁的医护和小倩家里人看在眼里,也是抑制不住内心的激动。

“太不容易了,小倩能够苏醒以及逐步恢复,真的是奇迹。之前什么问题都出现过,反复呕吐、瞳孔散大和双侧瞳孔不对称、高热、抽搐、吸入性肺炎、过敏等,对外界刺激毫无反应……”回忆起这段艰难的救治时光,石兴源主任也是感慨万千。

为了表达感谢之意,小倩的家人还特意为医护人员送来了多面锦旗。“在这么多个等待小倩苏醒的日日夜夜里,除了有绝不放弃治疗的我们,还有时刻守护的小倩的爱人、妈妈、爸爸。期待着小倩在后续治疗中能够获益更多,早日回归家庭、回归社会。”医护人员说。