髋关节炎是困扰很多老年人的一种疾病,随着年龄的增长,髋关节问题日益严重。许多老年人对于髋关节置换术存在疑虑,一边忍受着病痛的折磨,一边担忧手术创伤会对自身造成影响。究竟晚期髋关节炎患者该不该做关节置换术?广州中医药大学髋关节研究中心主任、国家重点学科(中医骨伤科学)带头人、广州中医药大学第三附属医院骨科专家何伟教授进行解答。
82岁老人换髋后丢掉轮椅
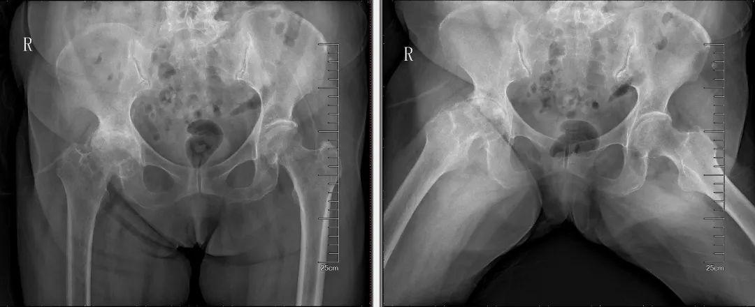
82岁的朱奶奶,今年3月份来到何伟教授门诊。一年前,朱奶奶在其他医院诊断为右侧股骨头坏死,手术前夕,主管医生告知家属,朱奶奶年纪大同时还有心肌缺血,风险太大,希望家属慎重考虑,基于此,家属放弃了手术。在这之后,朱奶奶的病情每况愈下,晚上连翻身都疼痛难忍、举步维艰,只能每天坐着轮椅。一个偶然的机会,朱奶奶了解到何伟教授是治疗此病的专家,便想请何教授开些中药,缓解髋关节炎的疼痛。
于是80多岁高龄的夫妻俩便来到了何伟教授门诊。何伟教授耐心听了朱奶奶的顾虑后,告知朱奶奶:“您的情况不是股骨头坏死,是晚期髋关节炎,非手术治疗很难有理想的效果。尤其是老人家,靠吃药不能解决问题,对于您的情况,最合适的治疗方法是人工髋关节置换手术。没有必要这样忍下去、拖下去,而且髋关节置换手术我们几乎天天做,技术非常成熟,手术时间不到一小时,经过完善的术前检查、评估,有麻醉医生的配合,手术的安全性也很可靠。”

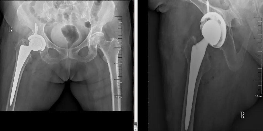
朱奶奶成功接受了人工髋关节置换手术,现在是术后的6个月,朱奶奶已经丢掉轮椅,基本恢复正常行走。

晚期髋关节炎的患者需要做手术吗?
何伟教授指出,对于罹患晚期髋关节炎的老年人,如果身体情况允许,应积极选择人工髋关节置换手术。
第一,随着病情的不断变化,老年人的活动能力每况愈下,疼痛也会不断加重,甚至丧失行走能力,老年人一旦出现无法行走,心肺功能降低、肌肉萎缩、骨质疏松等都会随之而来或进一步加重,不仅严重影响老年生活质量,还给之后的手术带来更大风险。
第二,现在人工髋关节置换手术技术越来越成熟,手术时间短、出血少、恢复快,一般无特殊情况,能做到术后当天或第二天下地站立并练习行走,是目前最好的治疗手段。
第三,关节置换的使用年限一直以来都是每位患者最关心的问题,对于老年患者(60岁以上)来讲,如果没有出现术后并发症,多数人一辈子只需要接受一次关节置换手术。许多患者及家属抱有“能拖尽量拖”的想法,有些拖延到80岁以上的高龄老人,因为疼痛难以忍受,主动要求手术,此时由于身体各方面机能大大下降,增加了手术的风险与康复的难度,即使手术成功,享受美好晚年生活的时间也大大缩短,实在是得不偿失。
文|记者 陈辉 通讯员 王校宇 李龙浩
图|受访者提供
校对 | 周勇