近日,广州和睦家医院关节外科中心完成了华南首例MAKO机器人辅助单髁膝关节置换术,量身定制的手术方案、手术精准,加之康复早期介入,患者术后第1天就能独立行走,第3天出院。
至此,该院骨关节中心已经完成了全髋、全膝、单髁三种MAKO机器人辅助手术,标志着该院关节手术已进入机器人辅助的新阶段。
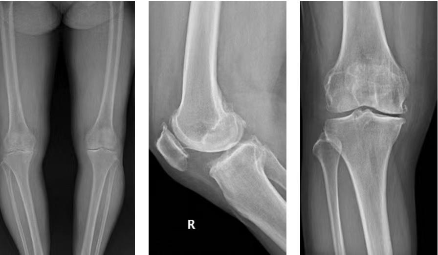
膝关节疼痛3年 近6个月加重
60岁的陈女士右膝关节疼痛已有3年,最近6个月疼痛加重,日常屈伸活动受限,走路跛行,影响与孙儿互动、自主家务等日常生活。
在广州和睦家医院就医时,陈女士被诊断为膝关节骨性关节炎,接诊的骨科刘宁主任建议陈女士选择用MAKO机器人辅助完成单髁关节置换术,解除疼痛困扰的同时,还能最大限度地保留骨量、本体感觉,以及关节功能。
机器人手术精准 误差控制在1°和1毫米以内
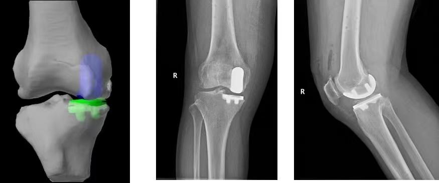
手术前,医生先通过CT扫描生成3D骨骼模型,帮助医生制定手术方案。同时,预判假体型号大小,使假体与患者骨骼完全匹配。

准备就绪后,医生在MAKO机器人辅助下,为陈女士完成单髁置换术。

借助MAKO机器人做手术是怎样的?
“机器人会把手术过程分解成一个个小关卡,主刀医生需要在机器人提示下完成任务才能进入下一关。比如在‘注册’这个任务里,机器人会显示虚拟的关节结构,在虚拟的骨头表面有若干小气泡,医生需要用特殊工具在真实的骨头上找到这些小气泡所在的位置,并确认‘戳破’气泡,准确戳中气泡就显示蓝色,不准确就是红色,如果红色气泡太多,那这个任务就不通过。”广州和睦家医院骨科主任李之琛解释,这对后面的手术步骤中的精准定位很重要,大大提高了手术的精确性和安全性。

据介绍,单髁关节置换术的手术视野有限,传统手术中,医生要靠肉眼判断容易出现误差。而MAKO机器人可在术中通过“触觉反馈”实时提示医生磨骨、截骨的范围,以及假体安装的深度和角度。比如说,锯子只会在安全范围内工作,一旦“出圈”机械臂动力就会自动停止,这样就可以避免骨头周围重要结构的损伤。
“机器人部分替代了医生的眼和手,而且眼更准、手更稳,医生就不会担心传统手术中敲击假体过浅导致固定不牢固,或者打入过深而导致骨折,可以避免手术中和手术后并发症的发生,大大提高了手术的安全性。与此同时提高了手术的精准性,医生可在机器人的辅助下将关节假体放置在恰当的位置,误差可以控制在1°和1毫米以内。”李之琛解释。
这并不意味着机器人取代人做手术。
MAKO机器人手术的主刀医生都是很高资历的关节置换医生,对于关节解剖、手术技术都已经熟稔于心。他们在机器人手术培训中心经过培训考核,获颁发机器人手术资质证书后“持证上岗”。
基于以上优势,MAKO机器人手术患者与传统手术相比,术后短期内的疼痛更轻、恢复更快、满意度更高(超过90%),而远期假体生存率更高(可达97%)。
无痛化管理+快速康复 手术后第一天可独立行走
手术精准完成仅仅是征程过半,快速康复“接棒”后半程的治疗。外科手术和康复训练的“无缝对接”,对于患者快速恢复关节功能、提升生活质量大有益处。
其实早在陈女士手术前,康复团队就提前开始介入了。康复科医生和治疗师进行了详细的术前评估,量身定制术后康复方案,并对康复训练进行了必要的预习等。
广州和睦家医院骨关节中心是由骨科及运动医学团队为主导,影像科、康复科等专业医护组成的多学科团队,可实现手术与康复紧密结合,患者全程“无痛化管理”。
术后当天下午,康复治疗师按计划对陈女士进行了早期康复介入,如:下肢关键肌肉的肌力训练、关节适度的主动和被动活动、助行器辅助下的室内负重行走等。术后第1天,陈女士即可独立行走,术后第3天即可出院,住院天数仅为4天。


“通过MAKO机器人辅助完成关节置换,可以降低并发症,医生更有‘底气’让患者接受快速康复,早期下地行走。从长远来说,这可能可以使关节假体使用时间更长,甚至达到让患者忘记做过关节置换手术的效果。”李之琛介绍。
据了解,人工关节置换手术是治疗关节终末期疾病的常用手段,手术后关节功能恢复较快,并发症发生少。MAKO机器人手术适合的人群包括需要接受全髋,全膝,单髁关节置换术的患者。适应证包括骨关节炎、创伤后关节炎、类风湿性关节炎、自发性缺血性骨坏死、髋关节发育不良等。
文 | 陈辉
图 | 医院提供
来源 | 羊城晚报·羊城派
责编 | 甘卓然 实习生 彭博