刘小姐结婚5年,夫妻琴瑟和鸣,恩恩爱爱,奈何5年来迟迟没能迎来爱的结晶。看着身边的朋友都二胎三胎了,刘小姐也开始担忧了,“为什么肚子不见起色,到底怎么回事?”
近日,刘小姐夫妇慕名来到广东省妇幼保健院看医生,然而在孕前检查时,刘小姐丈夫的检查结果却让其大吃一惊,“枕边人老公竟是女性!”

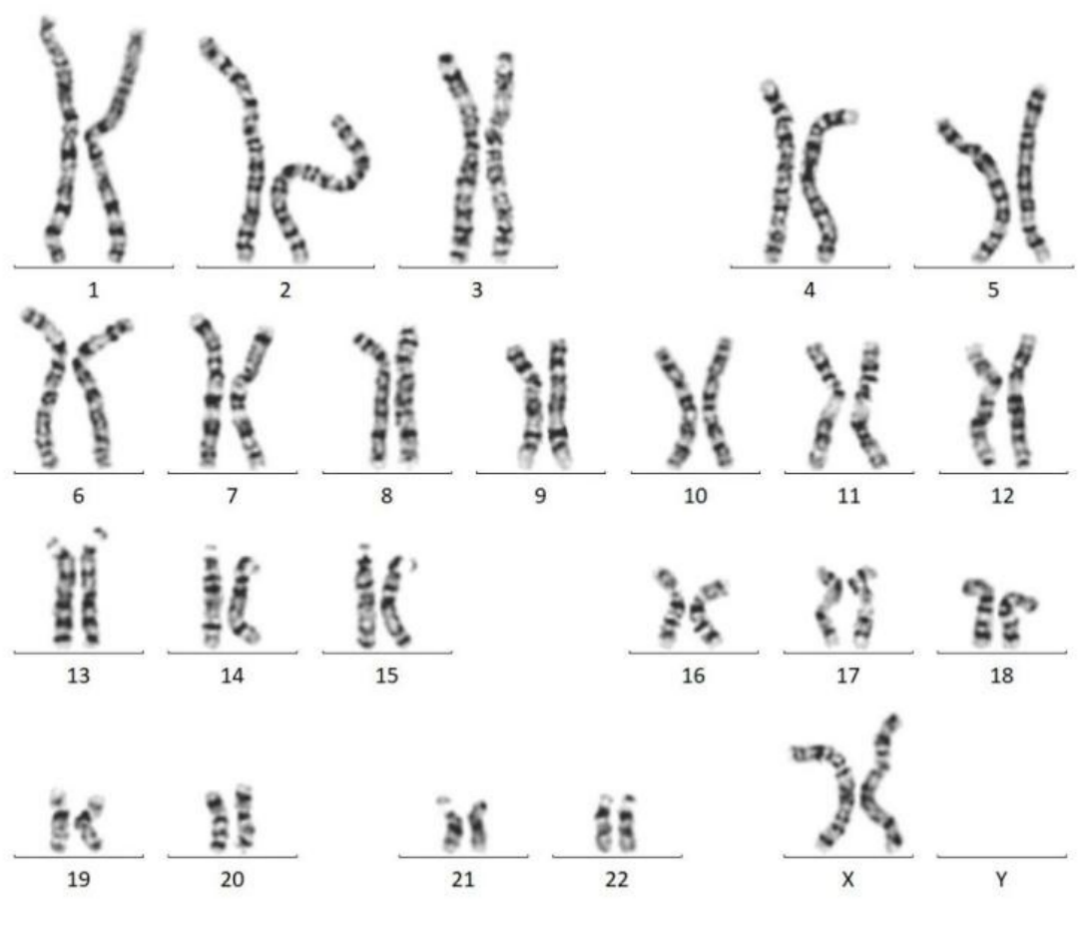
刘小姐丈夫遗传性别为女性
首先医生给刘小姐的丈夫进行了多次精液常规检查,结果提示精液里没有精子。为什么会没有精子?医生继续寻找病因,结果Y染色体微缺失检测报告提示:Y染色体AZFa、 AZFb、AZFc区域均缺失,SRY基因阳性,也就是说,无精子是因为Y染色体微缺失所致。
继续检查其性激素六项,报告提示,促卵泡激素和促黄体生成素升高(符合高促性腺激素、性腺功能减退)。而超声报告提示,刘小姐丈夫的双侧睾丸体积只有1毫升(参考范围12-25毫升),双侧附睾、双侧精索静脉、双侧射精管、双侧精囊、双侧输精管盆腔段未见明显异常,这表明,性腺性别为男性。
进一步的外周血染色体报告提示“46,XX”(提示遗传性别为女性)。中期细胞荧光原位杂交(FISH)检测报告提示有两条X染色体,SRY基因易位到一条X染色体短臂末端。这意味着同床共枕5年的丈夫不是“男人”……这个结果让人很无语。
“46,XX男性综合征”主要影响性腺发育
刘小姐的丈夫到底得的什么病?广东省妇幼保健院医学遗传中心副主任医师郭莉解释,在日常生活中,我们判断一个人是男是女只是依据表型,但是眼见不一定为实。从医学角度,人的性别可以分为染色体性别(遗传性别)、性腺性别(卵巢或睾丸)和表型性别。虽然刘小姐的丈夫表型、性腺都为男性,自认性发育、勃起功能、性生活、射精均正常,但染色体却为女性46,XX,临床上称为“46,XX男性综合征”。
那么“46,XX男性综合征”到底是怎么回事?“46,XX男性综合征”是一种罕见的先天性双性遗传病。1964年由De la Chapelle等首次报道,在男性中发病率约为1/20000。患者染色体为46,XX,但表型为男性,因为没有正常的Y染色体,可能存在程度不一的性腺发育不全的表现。
根据临床表型,“46,XX男性综合征”有三种类型:(1)表型正常的男性;(2)外生殖器模糊不清(尿道下裂、小阴茎等)的男性;(3)46,XX真两性畸形。
由于“46,XX男性综合征”主要影响性腺发育,一般不影响智力,仅从外表难以诊断。当有错怀疑时,建议联合运用染色体、FISH、SRY基因等检测,以及泌尿系超声、组织病理活检。
无法生育只能借助供精
“46,XX男性综合征”主要影响性腺发育,一般不影响智力,仅从外表难以诊断。郭莉指出,对于这一疾病的治疗,多以对症治疗为主,通过医学手段提高患者生活质量。针对刘小姐夫妇想要生育孩子的问题,也只能借助供精人工授精辅助生殖技术助孕了。
1、激素治疗:可通过激素替代治疗维持第二性征、性欲及性功能。
2、外科干预:包括外生殖器重建、性腺切除等,性腺发育不全和含有Y染色体成分的性发育障碍患者成年期发生性腺肿瘤的风险高,青春期后需密切关注,必要时需要预防性性腺切除,以防止性腺肿瘤的发展。
3、心理干预:无论遗传性别是什么,都要遵循患者性别认同为主,必要时予以心理辅导。
4、生育诉求:生育能力无法解决,建议供精人工授精辅助生殖技术助孕。
文|记者 张华 通讯员 王舒华 蔡婵慧
来源 | 羊城晚报·羊城派
责编 | 李可欣
校对 | 赵丹丹