“这都不会,真的要气死我哦。”40岁的王女士在辅导孩子作业时,常常把这句话挂在嘴边。不料,差点一语成谶。
1月29日下午,王女士突发胸口痛且喘气急促。舌下含服“速效救心丸”后症状有所缓解,但仅仅维持了半个小时,之后却更不舒服了——全身大汗、持续胸闷气紧,还伴随着难以忍受的胸痛。随后,赶紧到就近医院急诊科求助,初步诊断问题出在心血管,火速转诊至成都市第三人民医院。

咋回事?
冠脉撕裂心梗了
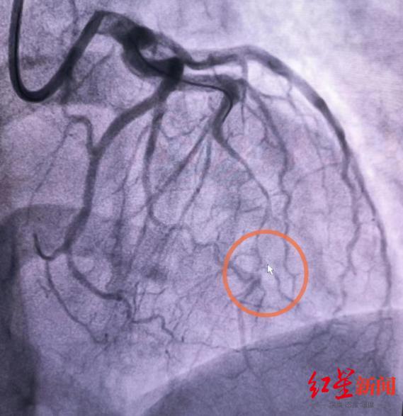
成都市第三人民医院是西南地区首家获得认证的“国字号”胸痛中心,拥有完善的急救“绿色通道”。王女士在被医护团队飞速护送至导管室后,心血管内科夏茏、叶滔、陈中波三位医生组团配合,以最快速度为其完成了冠脉造影检查。结果提示:“前降支重度狭窄,血管中段出现血管不光滑改变”。

血管表现出“断层式的狭窄”,这不是常规的动脉粥样硬化疾病表现。在迅速判断后,心血管内科胸痛急诊团队又为王女士开展了腔内影像学IVUS(冠状动脉血管内超声)进一步检查并精准找到了病因——前降支血管夹层影像,俗称自发性冠脉动脉夹层(SCAD)。简单来说,就是血管内壁有撕裂,漏出的血液被尚还完好的血管外壁兜着,犹如自行车胎“鼓包”。
通过冠状动脉血管内超声检查,医生找到了王女士血管夹层破口的位置,并对血肿对管腔的压迫情况及残存管腔情况进行了判断。夏茏介绍说,自发性冠状动脉夹层是一种较为罕见的心血管疾病,可因形成的血肿压迫血管引发心梗,其死亡率却高达为70-75%,“好在夹层破口撕裂到中远端就停止了,血肿未完全压迫血管,心梗的程度较轻微。”基于完善的检查结果和综合判断,目前暂时可以不作介入支架治疗干预,待自身血肿慢慢吸收和夹层逐渐愈合。不过,需要同步接受密切观察,警惕血管问题进一步加重。
啥原因?
和长期情绪激动有关
年仅40岁,没有高血压、糖尿病、冠心病等病史,平时也没有抽烟喝酒的习惯,为啥冠状动脉就撕裂了呢?这让王女士有些想不通,和医生一起倒排诱因,结果让她哭笑不得:气的。

原来王女士一直对孩子的学业要求比较严格,每天晚上都会亲自检查作业完成的情况。“最近真的更气了,一道题反复讲,就是做不来。”看着一堆寒假作业,母子俩都是“脑壳痛”。虽然越辅导越生气,音量也越来越高,但是王女士还是努力克制,没有给娃娃“敲”到身上。病发的前一晚,王女士又是暴怒之后带着闷气进入梦乡。
据介绍,自发性冠状动脉夹层的原因不明确,但公认诱因除了激素调节异常、纤维肌性发育不良等之外,还有一个就是情绪的波动。而王女士这次进医院,跟日常经常情绪剧烈波动有着密切的联系。
医生提醒,正在努力给宝贝们辅导寒假作业的家长们,真的不要再暴躁了。冬季天气寒冷,春节聚餐饮酒频繁,春运出行长途奔波劳累等,这些也是诱发心梗的重要因素。近期医院心梗患者的收治,就出现了明显的增加。
如遇身边人突发剧烈胸痛咋办?最有效的方式是:迅速拨打120求助。

另外,下面这份“护心指南”请查收
急性心梗的常见症状
典型症状:
胸骨后或心前区剧烈的压榨性疼痛,可向左上臂、下颌、颈部、背或肩部放射;
部分患者可伴有恶心、呕吐、大汗或呼吸困难,甚至发生晕厥;
通常心肌缺血导致的胸部不适症状表现为弥漫性,而非局限性,无明确定位。
先兆症状:
休息时突然胸痛:工作一天后,回到家坐下休息或者夜间睡觉时,突然发生左前胸疼痛。
心绞痛症状加重:之前患有心绞痛的患者,近段时间内心绞痛症状逐渐加重,或胸痛次数频繁,范围更大,持续时间更长。
无明显诱因胸痛:在没有明显诱因的状态下出现胸痛症状,同时伴有大汗淋漓、呕吐、恶心等情况。
突然心慌、憋闷:突然出现前所未有的胸闷、乏力、心慌症状,或在活动时出现心慌、气短等现象,并有症状逐渐加重的趋势。
其他部位疼痛:出现上腹痛、牙痛、下颌痛、左上肢痛、后背痛中的一个或多个。
其他严重情况:突然出现急性左心衰竭、心源性休克、严重心律失常、晕厥等。
急性心梗的急救
突如其来的急性胸痛是一种致命的信号,除突发剧烈而持久的胸痛外,还常伴烦躁不安、出汗、恐惧或濒死感,休息或含服硝酸甘油、速效救心丸不能缓解。
也有表现为气促或上腹部、颈部、下颌及咽部疼痛或牙痛的,但程度都比较剧烈,有难以形容的全身不适或发热感。这时,应考虑为心梗。
最有效的急救方式是:拨打120,尽快到医院救治。
冬季急性心梗的预防
戒烟限酒:吸烟为心脏疾病的高危因素,长期吸烟会损害血管内皮,降低血管弹性,应该尽早戒烟。
健康饮食:三餐规律,饮食均衡,加强体质锻炼,提高自身免疫力,保持合理体重。
规律作息:规范作息时间,减少熬夜。避免剧烈情绪波动,防止支配血管收缩的神经过度活跃和过度持久的冠脉血管收缩使心肌缺血。
防寒保暖:当气温骤降,血管痉挛收缩,冠脉供血骤然减少时,应及时增加衣物。
积极治疗基础疾病:积极有效地控制高血压、高血糖、高血脂,有助于降低心梗的发生几率。