两年前,福州35岁的钱先生接受了肾脏移植手术,重获新生。但这场手术也带来了长期的挑战——他必须持续服用抗排斥药物,以保持新肾的正常功能。然而,当他逐渐适应了这些药物,一场意外却悄然袭来。
一周前,钱先生出现了刺激性干咳,每每活动后伴随着气喘,呼吸急促。用药后,这些症状并未改善,甚至简单的日常活动也变得困难重重。于是,他来到福建医科大学孟超肝胆医院呼吸内科,寻求医生帮助。
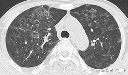
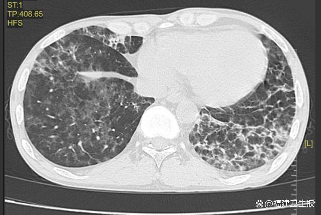
入院后的一系列检查很快揭示了令人震惊的事实:因为长期抗排斥治疗,导致钱先生的免疫力极低。更糟糕的是,淋巴细胞计数低下,炎症指标升高,胸部CT显示出肺部弥漫性斑片状、磨玻璃样的密度增高影,这是肺部感染的典型征象。


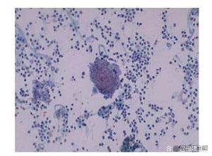
接诊的呼吸内科副主任医师林秀华通过支气管镜下肺泡灌洗术,最终锁定了背后的元凶:耶氏肺孢子菌肺炎。
医疗团队立即采取了对症治疗,钱先生的症状终于缓解,炎症指标逐步下降,目前已出院。
肺孢子菌也叫做肺孢子虫,是一种寄居于人体呼吸系统,能够感染人体的机会致病性病原体。该病原体是一种原虫,后来通过证实该病原体是一种真菌,感染人的肺孢子菌株被命名为耶氏肺孢子菌,在免疫力低下的患者体内可引发致命性的耶氏肺孢子菌肺炎。

“特别是在肾移植术后的患者当中引起重视!”林秀华说,在器官移植后,由于长期服用免疫抑制剂,极易发生各种感染,其中就包括肺孢子菌感染。有数据统计,该病症在肾移植术后发病率为2%~11%,在移植术后3-6个月高发,但在术后远期依然有发生肺孢子菌感染的风险,主要与患者的免疫状态有关。
该病症病死率极高,最常见的临床三联征为发热、干咳、渐进性呼吸困难。很多患者常误认为是普通感冒,但可能短时间内就由“感冒”进展至呼吸衰竭。若不及时治疗,其死亡率可高达100%。
林秀华特别提醒,器官移植术后患者,肺孢子菌感染一旦发生,病情进展迅速且预后较差。因此,早诊断和早治疗是改善预后的关键。若出现发热、干咳、呼吸困难等症状,应立即寻求医疗帮助。
同时,应立即停用或减少免疫抑制剂。对于出现严重低氧血症的患者,应停用所有口服免疫抑制剂,并给予肾上腺糖皮质激素静脉注射,以减轻肺间质炎症、改善缺氧症状,并保护移植肾功能。若病情恶化,出现难以纠正的低氧血症,应及时采取呼吸支持措施。