蜗牛能有巴掌大?近日,广东在雨后出现了不少巴掌大的蜗牛,棕色壳,灰色肉,拖着长长的黏液“招摇过市”,还一举登上了网络热搜榜,不少网友惊诧:“广东的蜗牛都这么大的吗?”“肉这么多,‘吃货’申请出战!”
面对网友对大蜗牛的好奇,专家提醒:这种蜗牛并不卫生,最好不要去尝试触摸,更不能吃!

雌雄同体!每年能产千个卵
非洲蜗牛为首批外来入侵物种
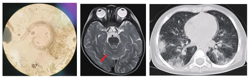
“这种巴掌大的蜗牛其实并非广东‘本地蜗牛’,它们的学名是褐云玛瑙螺,通常被称为‘非洲大蜗牛’。”华南农业大学资环学院昆虫学系何晓芳副教授介绍,非洲大蜗牛能够对500多种植物产生危害,包括农作物、林木、果树、蔬菜、花卉等,是许多人畜寄生虫和病原菌的中间宿主,尤其会传播结核病和嗜酸性脑膜炎,已被列入《中国第一批外来入侵物种名单》。
非洲大蜗牛在我国广东、广西、云南等地都有分布。它们平常喜欢躲藏在潮湿处,阴沟旁、花池中都是它们出没的地方。雨后潮湿时是它们最活跃的时候。

非洲大蜗牛体态魁梧,是我们常见的本土蜗牛的数倍之大。与本土蜗牛相比,非洲大蜗牛的体内携带了更多的人类病原菌和耐药病原菌。这不仅增加了人类感染的可能性,同时还使得治疗变得更为困难。
此外,非洲大蜗牛具有雌雄同体的特征,繁衍能力更是惊人。每年,一只成年的非洲大蜗牛可以产下数百乃至上千个卵,远超过本土蜗牛的繁殖力。这种惊人的繁衍能力,让它们在新的生态环境中迅速占据优势,对本土生态系统造成严重破坏。

“值得一提的是,非洲大蜗牛与虎纹非洲大蜗牛、无斑玛瑙螺三个近缘物种在外部特征都非常相似,三者的区别在于轴唇与内唇颜色不一样。”何晓芳介绍,非洲大蜗牛的是淡白色或蓝白色,其他两种都是粉红色。目前这三种蜗牛均已入侵到我国。
大蜗牛就连黏液都有毒?
非洲大蜗牛,最好你别馋
面对广大“吃货”的口水,专家表示:非洲大蜗牛,最好你别馋。
“蜗牛(螺)都是可食用的,但是非洲大蜗牛以及很多蜗牛(螺)是广州管圆线虫的中间宿主,为了解馋而冒健康风险,得不偿失!”何晓芳介绍,近年在广州及珠三角的一些蜗牛(螺)调查中,广州管圆线虫的感染率在2%-47.06%之间。广州地区也有儿童广州管圆线虫病收治的报道。其中某些病例有食生田螺、进食蜗牛、接触福寿螺、接触蛞蝓的流行病学史。如果误食可能会患上广州圆管线虫嗜酸性脑膜炎等疾病,可能危及生命!
“蜗牛(螺)不要把玩,不能生吃!”何晓芳提醒,如果希望品尝美味,应通过正规途径购买专门饲养非洲大蜗牛的白化种——白玉蜗牛,做成熟食品尝。

此外,非洲大蜗牛的生存环境复杂,常与各种鼠类、蚊虫为伴,还会食用鼠类粪便,身上携带者各种各样的细菌、病毒,一旦触摸很容易被感染,轻则可能引起肿胀、瘙痒、红疹等,重则可能导致病毒、细菌侵入体内,出现更为严重的症状。
非洲大蜗牛的危害还不止于此。它爬行时留下的黏液中可能也携带着病原体,如果它爬行过水果、蔬菜等,也有可能会间接传染给人类。

“在路边遇到非洲大蜗牛,如果不慎接触,要及时冲洗。”何晓芳提醒,建议日常食用蔬菜、水果时也应当仔细清洗,避免发生感染。“如果不慎触摸,应第一时间用清水冲洗;如果触摸、误食后出现不适症状,务必第一时间前往医院就诊,避免病情恶化。”
如何“干掉”非洲大蜗牛?何晓芳表示,如果是住宅小区、家庭园区出现非洲大蜗牛,可以清洁田园,改善栽培管理,并辅以雨后或黎明、黄昏时分在园区内四周堆瓜皮,诱集一段时间后捕杀。或直接用生石灰粉撒施,此方法是治理非洲大蜗牛传播最有效最直接的方法。
如果是农田出现非洲大蜗牛,在有条件的地方实行水旱轮作。改变其栖息场所,降低其种群基数。也可在种群发生量大,发生高峰期,下午5点后施用硫酸铜溶液或80%蜗蝓死。

这些蚊虫要留意!
蚊子:
危害:皮肤出现丘疹、瘙痒,还是流行性乙型脑炎、登革热、疟疾等疾病的传播载体
提醒:注意及时清理家里花盆、水桶里的积水以减少蚊子产卵和孑孓滋生。一些防蚊子的工具例如纱窗、电子灭蚊灯都是可以取的。外出活动可以使用避蚊胺、埃卡瑞丁等药物涂抹驱蚊。
蜱虫:
危害:吸血后引起血管局部充血、水肿、出血等情况。可能会传播病原体,引起高热、头痛、呕吐、腹泻等。
提醒:避免进入灌木丛、落叶区;穿长衣长裤;进入室内后及时检查皮肤、衣服,及时洗澡;被咬后不能拍打,应用酒精消毒后用镊子取出。
红火蚁:
危害:叮蜇后释放毒液,皮肤出现丘疹,可能引起过敏性休克;
提醒:远离蚁穴和疑似蚁穴的小土堆,不在野外席地而坐,不赤脚在草地上活动。被蜇后要密切关注一个小时。如果出现呼吸困难、全身红疹、休克等严重过敏反应,应当马上上医院就诊。如果仅是轻微的火烧感、痛疼、红肿、痛痒或者隔天出现脓包,可涂抹清凉油等减缓不舒适感。注意不要挠破水泡或脓包,避免二次感染。
隐翅虫:
危害:毒液在体外活性很高,腐蚀性极强
提醒:隐翅虫落在身上后要将其吹走、弹开,如果贸然将其拍死,皮肤沾到它的毒液轻则皮肤灼伤,重则可能会导致皮肤红肿、冒出水泡,甚至是溃烂的情况发生。
文 | 记者 薛仁政
图 | 视觉中国