82岁的曾婆婆(化姓)咳嗽了一个多月未愈,黄浓痰伴着偶尔咯血。近日,她来到广州市红十字会医院寻求帮助。经电子支气管镜检查后,竟发现她的肺部“发霉”了!一场肺部“除霉”大战就此开启!
曾婆婆的肺部“发霉”,其实是右上肺空洞内烟曲霉菌感染,即慢性空洞性肺曲霉病。该院党委书记、呼吸与危重症医学科主任医师张言斌带领科室团队,首次启用支气管镜介入技术,成功“除霉”,让曾婆婆重获畅快呼吸。
据悉,该技术是四级呼吸内镜诊疗技术,近年来逐步发展不断成熟,以高安全性、经济性受到欢迎。张言斌作为该技术的国内先行者,已成功应用于近千名患者。

肺部“侦探”出动:竟是肺部“发霉”!
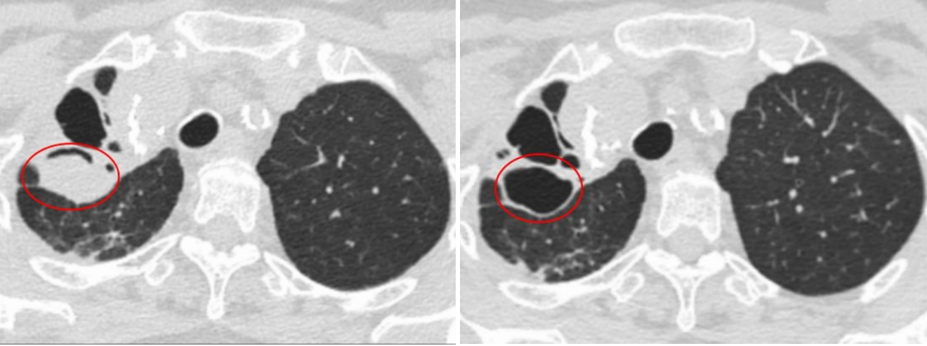
八旬老太久咳不愈是为什么?张言斌带领科室团队化身肺部“侦探”,推测曾婆婆可能存在右上肺空洞继发曲菌球感染。为了进一步查明咯血病因,张言斌为曾婆婆进行了支气管镜检查。聚光灯下,张言斌在曾婆婆肺部右上叶后段扩张及空洞内有了“新发现”!病理报告敲定了最后的诊断:右上肺空洞内烟曲霉菌感染,导致了慢性空洞性肺曲霉病。
据介绍,慢性空洞性肺曲霉病是一种严重的真菌性肺部感染,如果不及时治疗,不仅会影响患者的呼吸功能,还会增加并发症的风险,严重时可能造成不可逆的肺结构损伤,甚至危及生命。因此,及时、有效为曾婆婆进行治疗至关重要。
面对两难,新路径破解!
该如何给曾婆婆治疗呢?该病常规治疗方案主要有两种:一是外科手术切除+抗真菌治疗,二是单纯抗真菌治疗。
外科手术切除+抗真菌治疗的治疗效果是毋庸置疑的,但手术可能需要切除患者整个右上肺,甚至右全肺。这对于同时合并有高血压病、冠心病等多种慢性疾病、体型瘦小的高龄曾婆婆来说,不仅创伤大,而且在麻醉、手术过程、术后恢复及术后肺功能保留等多方面都存在较大风险。曾婆婆家属商量后,表示不考虑外科手术治疗。
单纯抗真菌治疗虽然可以阻止空洞内曲霉菌感染向外侵袭,有助于减轻曲霉菌感染的炎症,但已形成的曲霉球并不会因药物治疗而自行消失,而且抗真菌治疗需长期用药(至少6个月或终生),治疗费用高且存在长期用药导致患者肝肾功能损害的可能。
与患者家属详细沟通病情后,张言斌提出,可以采用经支气管镜介入切除空洞内曲霉球+抗真菌治疗技术。考虑到曾婆婆高龄等情况,张言斌带领团队启用了多学科协作(MDT)模式,集合了麻醉科、胸外科、放射科、介入科等多个科室力量,共同为曾婆婆制定了个性化的诊疗方案。
支气管镜下“微雕”,成功“除霉”!
4月18日,在张言斌和呼吸与危重症医学科副主任钟海波带领下,团队为曾婆婆进行了第1次支气管镜介入治疗。一根细长的导管缓缓进入患者呼吸道,通过屏幕,医生们能够清晰地看到曲霉菌球的轮廓。专家们小心翼翼地切除病灶,每一步都精确到毫米级,力求在不伤害周围正常组织的情况下顺利完成了手术。一个小时后,成功将患者空洞内大部分曲霉球清除。

曾婆婆术中无明显出血,术后无明显不适也没有再出现咯血症状。然而,鉴于曾婆婆高龄且身体承受能力有限,建议她先居家疗养并继续服用抗真菌药物,两周后再进行后续治疗。
5月10日,曾婆婆再次入院接受第二次支气管镜下治疗,对残留的少许曲菌球进行镜下清除。终于顺利将空洞内曲菌球完全清除干净。术后四天,曾婆婆咳嗽、咳痰症状明显改善,咯血症状消失,病情明显好转顺利出院。

“该项技术如同肺部的微雕。它利用高清晰度的支气管镜,搭配各种微型治疗器械,能够在不开胸的情况下,直接进入气管、支气管甚至肺部深处,进行病灶的诊断与治疗。”张言斌介绍,这种技术具有微创、精确、高效和适用广泛等优势。相比传统外科手术,介入治疗创口小、恢复快,大大降低了手术风险和患者痛苦;而高分辨率成像技术使医生能直观看到病变位置,令操作更加准确;能即时进行活检、病灶切除、止血等多种操作,治疗效率高;可适用于多种呼吸系统疾病,如支气管狭窄、肺部肿瘤、感染性病灶等。
文 | 记者 林清清 通讯员 杨凯琳 胡颖仪
图 | 医院提供