“刚开始病情恶化时,我每晚都无法入睡,担心一闭眼就再也睁不开眼。”49岁的阿涛(化名)抗癌已有9年,不料病情多次复发,今年发现肉瘤竟转移到了心脏,生命一度危在旦夕。
心脏肿瘤可否放疗呢?这种情况在国内极少出现。为了挽救生命的希望,广东肿瘤专家团队帮助阿涛勇闯“生命禁区”,通过尖端精准放疗技术控制住了心肌转移瘤。处在癌症末期的阿涛,在接受治疗后顺利出了院,目前已经回归工作岗位,步入正常的生活节奏。
![放疗准备工作[00_00_05][20241119-180516].png](https://health.ycwb.com/pic/2024-11/21/53073692_1ed638c8-d5da-4c93-abfa-5d55288fd26fcopy.png)
抗癌近十年,病情复发危及生命
肉瘤长在心脏,发病罕见
时间回到2015年,当时年仅40岁的阿涛,因为左前胸壁出现肿物而接受切除手术。两年后,他的胸壁肿物增大疼痛,被确诊为平滑肌肉瘤。
接受辅助化疗进展到2019年,阿涛开始出现反复咳嗽、咳白色黏痰、伴随偶尔的胸闷胸痛。直到2021年,他的症状日益加重,才前往广州医科大学附属肿瘤医院(以下简称“广医肿瘤”)就诊。
经过CT引导下的肺穿刺活检发现,阿涛的平滑肌肉瘤已发生肺部转移,并查出了双肺多发结节,被确诊为“左前胸壁平滑肌肉瘤术后复发”。该院内科一区主任李卫东团队为阿涛制定了6个疗程的化疗方案,病情好转之后他就出院回了老家。
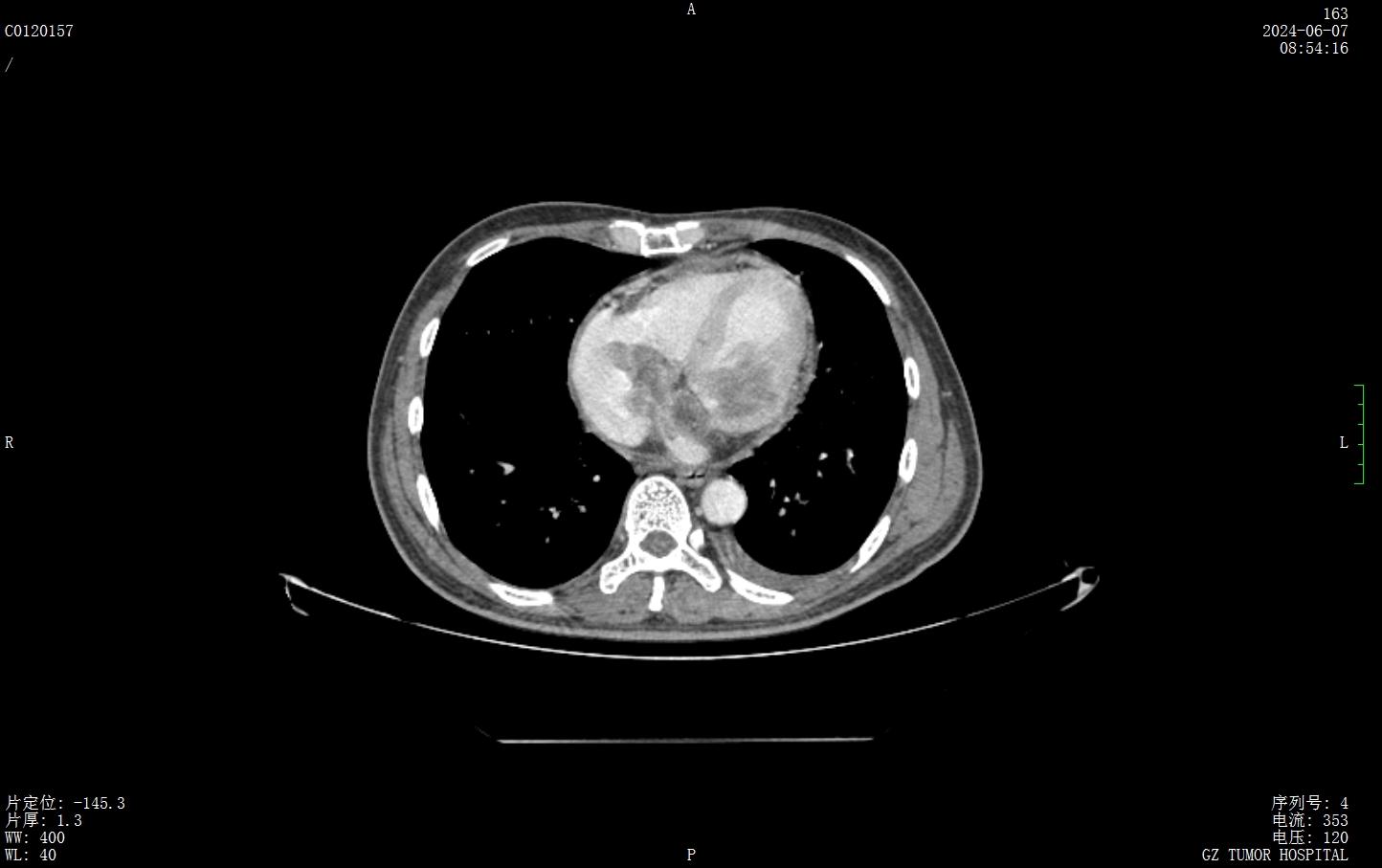
今年5月,阿涛又开始出现明显的不适感,胸闷、气促,心率快导致他只能卧床,无法自主行动。经过心脏超声检查发现,阿涛的左心室和右心房内竟然分别有一个3.1×2.9厘米和3.5×4.1厘米的肿瘤。

由于发现阿涛的心脏里含有大量心包积液,专家团队紧急为他进行了心包穿刺术。第一天医生就引流出了300ml血性心包积液,第二天又是300ml。李卫东称,阿涛的心肌被肿瘤广泛浸润,如果不采取有效控制,病情将无法逆转。如果心包积液持续压迫心脏会导致心脏的停搏,生命岌岌可危,同时治疗难度也非常大。
平滑肌肉瘤是起源于平滑肌细胞的一种恶性肿瘤,好发于身体多个部位的肌肉组织,主要包括消化道、子宫、血管等。“以往研究报告显示,在软组织肉瘤导致的心脏转移瘤中,仅有不到5%的病例来源于平滑肌肉瘤,发病罕见。”广医肿瘤放疗科五区主任刘锦全介绍。

新的技术尝试给患者带去希望
精准放疗技术勇闯“生命禁区”
阿涛心脏的2个肿物犹如“定时炸弹”,命悬一线。但如何进一步治疗,也让医疗团队一度犯难。“心脏肿瘤可否放疗呢?”考虑到尽管阿涛处在癌症末期,但他对生存的渴望依然非常强烈,专家团队经过与阿涛及家属深入沟通,决定对他进行心脏肿瘤放疗。
在医学界,心脏作为人体的动力中心,常被称为“生命禁区”。心脏放疗可能会导致严重的心律失常、肺栓塞甚至猝死。根据文献报道,国外心脏转移瘤放疗仅有12例记录。
“心脏转移瘤一般以内科治疗为主,极少用放疗来治疗,以前的放疗设备精准度不够高,基本没人敢往那边想。所以现在有了新的技术,我们希望通过新的尝试,给患者多一点希望,多一个挽救治疗的选择。”刘锦全说。
由内科、放疗科、外科、ICU、医学影像科专家组成的团队,在有限的病例报道中连夜进行讨论分析、勾画靶区、制订放疗计划,做好充分的应急方案。最终,团队决定采用螺旋断层放射治疗系统(TOMO)设备,为阿涛进行精准放疗。
广医肿瘤放疗科放疗中心主任张书旭介绍,TOMO以螺旋CT旋转扫描方式,在CT引导下360度聚焦断层照射肿瘤,能对恶性肿瘤患者进行高效、精确、安全的治疗。TOMO能够按照治疗计划精准定位,对肿瘤部位设置千万条射线束,而对其他的健康组织避免高剂量照射,充分保护正常心肌以及周边器官的功能,精准度能达到0.1毫米。
历时约6周,阿涛全程接受了28次心脏肿瘤放疗。放疗5次后,阿涛便能开始独立行走和进食,放疗9次后已经没有了心包积液,心包穿刺引流管得以拔除。刘锦全表示,由于心包积液的变化会导致肿瘤位置变化,放疗期间医生们调整了3次放疗计划,在保障有效放疗剂量的同时,尽可能保护心脏功能。
如今,阿涛的放疗已经结束,回到老家正常工作生活,同时继续接受辅助性化疗并定期复查。“感谢医生给了我第二次生命。”阿涛感慨道。
文、图|记者 朱嘉乐
通讯员 鲁旭 魏彤 王梦瑶