敌草快中毒、全身多处渗血、心率飙升至189次/分钟、大剂量升压药物维持下血压仍因过低而无法测得,生命体征极不稳定!
误服敌草快的14岁女孩小美(化名),在当地抢救5天仍生命垂危。生死一线间跨省转运至广州,经过中毒专家31天的抢救,从“转运路上已在准备身后事”,到1月7日痊愈出院“跑着跳着回家”,终于可以回家过个安心年!中毒专家提醒:敌草快等有毒物品勿分装放置,误服及时就医。
31天抢救!从准备“身后事”到“跑着跳着”回家
2024年12月8日16:15,广州市第十二人民医院(以下简称“市十二医院”)重症医学科副主任医师张瑞昌接到了急诊科会诊申请,凭着仅有碎片化信息,他快速在大脑中根据呈现出的患者画像思考治疗方向。与其大脑同步高速运转的还有该院黄埔院区“中毒救治绿色通道”。
“大约是30毫升。一开始肚子痛、吐得厉害但人还是清醒的,我们还以为只是遭点罪没大问题。后面情况越来越差,再后来就接到病危通知书,说是治疗意义不大了!我们在网上看到说这里擅长治疗中毒就来了,也没有提前联系的概念。”家属掩面低声描述小美(化名)的情况。
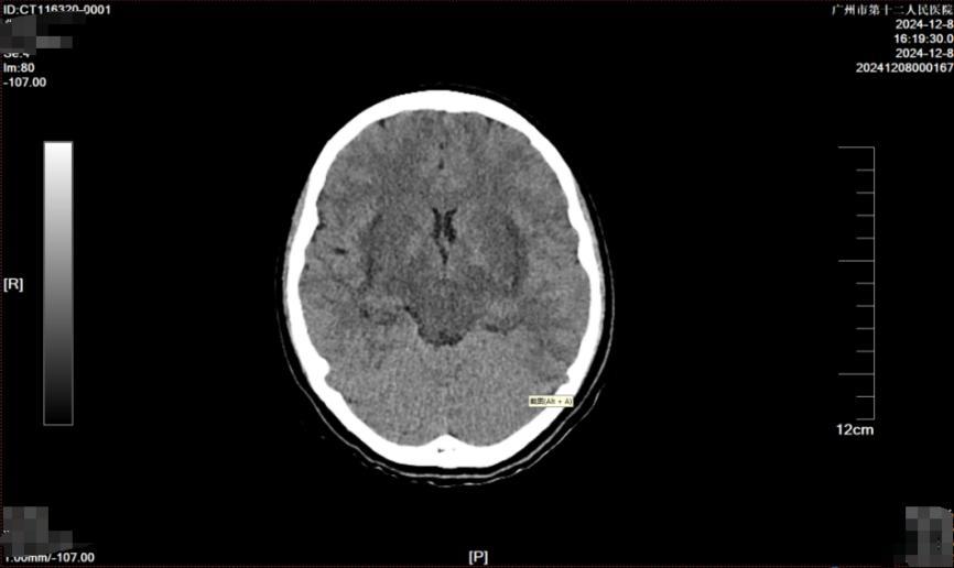
据了解,这是一名跨省转运患者,在抵达市十二医院黄埔院区前已在就近三甲医院接受了洗胃、血液净化等一系列紧急医疗干预措施。在5天治疗期间,小美病情仍在迅速恶化,甚至进展为多器官功能障碍,其中中毒性脑病尤为明显,出现了精神状态极度萎靡、无尿、肢体不自主震颤等症状。当地医生结合既往救治经验评估该病人生存机会渺茫,预计短期内死亡。


家属经过网络搜索,得知广州市第十二人民医院是华南地区最大的中毒救治基地之一,近年来,已成功抢救三十多位濒临死亡边缘的重症高致死性除草剂中毒病人,为了争取那不到1%的生存希望,家属决定将小美转到该院重症医学科抢救。
经过4个多小时的转运,到达市十二医院时,小美心率已快到189次/分,血压和血氧饱和度完全测不出。中毒救治中心立即启动绿色通道,从急诊接诊、完成评估检查到收入重症医学科住院,整个过程前后不到20分钟。
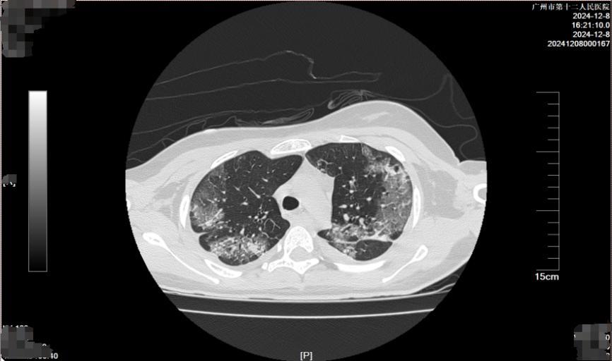
血肌酐水平高达760umol/L,转氨酶水平显著升高,提示肾、肝功能严重受损;肌红蛋白水平升高,表明存在横纹肌溶解症;血淀粉酶升高,并发了中毒相关胰腺炎……根据各项检查结果及患者临床表现,重症医学科团队快速敲定了个体化救治方案,其中包括精细化的液体管理、毒物监测指导下的个体化血液净化方案、肺保护下的脑保护措施等,力求在最短时间内稳定患者的生命体征。
2小时后,小美血压、心率等生命迹象逐步稳定,但全身凝血功能障碍、多器官功能衰竭、中毒性脑病等危重状态,仍然提示病情依然不容乐观。张瑞昌表示:“当时患者还出现了凝血功能异常延长,全身多处渗血,不单是皮肤黏膜出血,且口咽和气道出血比较明显,这也给气管插管增加了不少难度。”
让人振奋的是,在重症医学科团队精心治疗下,小美身体机能逐步恢复——入院第3天成功撤离呼吸辅助设备、第10天肾功能恢复并脱离血液净化设备支持、第16天顺利转出重症医学科病房、第31天痊愈出院。
“小美出院时活蹦乱跳的,已经完全恢复了,也没有后遗症。家属还跟我们说,其实他们在转运过来的路上已经在准备‘身后事’了,没想到会如此幸运,还能跑着跳着回家。”张瑞昌在接受记者采访时,脸上满是欣慰。
专家:救治有最佳时间窗!有毒物品勿分装放置
30毫升20%浓度“敌草快”是什么概念?为何仅3天时间,小美从神志清醒进展为多器官功能障碍,是因为误服摄入量过多吗?

市十二医院中毒救治中心副主任、重症医学科主任陈运超对此进行了专业解答:理论上急性敌草快中毒的预后与摄入量存在明确相关性,按照现有国内专家共识可分为三种:一是轻度中毒,如20%商品<9.35mL。除胃肠道症状外,还可能出现肾功能不全,均可恢复;二是中度至重度中毒,即20%商品9.35~112.2mL。出现以急性肾衰竭为主要表现的多脏器功能障碍综合征,三分之二患者可恢复;三是暴发性中毒,即20%商品>112.2mL,快速进展至多脏器功能衰竭,患者多在24~48小时内死亡。
“不过,病情评估应结合剂量、临床表现及实验室检查结果等综合评价并动态评估。在早期阶段,该病症主要表现为消化道症状,同时重要器官的损害相对较轻,患者意识清醒、生命体征平稳,可能会导致接诊医生对病情严重程度评估以及制定治疗方案造成一定的影响,从而使得患者错过早期干预的最佳时间窗口,正如小美此次的经历。”陈运超说,在临床救治中发现,剂量和中毒严重程度虽然有一定的相关性,但是病人接触毒物后送医院就医的时间以及首诊医院早期处置措施也十分重要。如果早期没有及时处理,轻度中毒也可能转变为重症中毒;相反,如果从一接触毒物就马上送医院进行毒物清除,有些大量服毒的患者仍有可能成功获救。该院重症医学科通过大量临床经验的累积,准确甄别重症中毒病例,总结出比较成熟的精准评估以及个体化毒物清除方案,敌草快中毒危重症病例的救治成功率逾50%。

据悉,稍早前,该院中毒救治中心还接诊了一名误服路边含有高浓度乙二醇的防冻液致使严重酸中毒,从而进展为急性肾衰竭、严重肺渗出等多脏器损伤的患者。
专家提醒,误服敌草快、防冻液等有毒物品后应立即就医,以免错过治疗最佳时机。日常生活中应妥善放置上述有毒化学品,切勿用未标注的器皿存放、与饮品和食品混淆。
文 | 记者 林清清 通讯员 廖温勃
图 | 医院提供