咽喉痛常见,但处理不及时,亦可出大问题!
临近春节,公司业务多,小张经常熬夜加班,还抽空参加多场聚餐。这期间出现了鼻塞流涕喉咙痛等不适,最初小张不以为意,以为是小感冒,到附近中医馆就诊,喝了几剂中药,鼻塞流涕症状有好转。然而,喉咙痛却有加重倾向,甚至耳根、牙齿也感到疼痛,并伴发热,体温也已高达39℃。
小张赶紧到附近医院内科就诊,经过检查,诊断急性咽炎及扁桃体炎,口服抗生素后,喉咙痛仍继续加重。小张此时已经无法正常饮水进食,每次吞咽口水都是一次艰难的决定,说话的声音也变得不清楚,嘴巴无法张大,仿佛口中时时刻刻含着一颗大大的“鸡蛋”,说话没力气,呼吸不畅。
公司同事发现小张异常情况,建议他赶紧到中山大学附属第一医院耳鼻咽喉科急诊就诊。
经过询问病史和专科检查,耳鼻咽喉科住院总李航医生发现,小张此时的病情已经进展为扁桃体周围脓肿,单纯口服药物难以控制病情,需要将脓液引流出来,辅以静脉药物治疗,炎症才有可能控制,建议住院治疗。
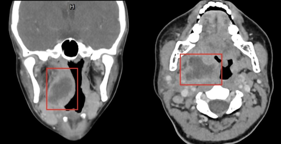
很快,颈部增强CT结果也证实:在小张右侧颈部,确实有一个大大的“鸡蛋”,里面的液体是由于细菌感染导致的脓液,它牢牢占据了扁桃体上窝的空间,诱发周围正常结构的强烈炎症反应,这才导致剧烈咽痛。

小张急诊入院后,主管医生对小张的扁桃体脓肿进行了穿刺并脓肿引流处理,小张病情迅速好转,并于近期顺利出院。
中山大学附属第一医院耳鼻咽喉科医院雷文斌教授指出,扁桃体周围脓肿是一种常见的急性扁桃体疾病,主要发生于成年人,多发生秋冬季节。它通常由扁桃体隐窝的致病菌向深部侵犯、进入扁桃体周围间隙所致。扁桃体周围脓肿早期症状类似急性咽炎及扁桃体炎,包括持续咽痛与发热。如果治疗不及时或延误处理,炎症可能导致局部脓肿形成,当脓肿无法得到有效干预,其范围会迅速扩大,严重时会导致气道狭窄窒息、全身脓毒血症、纵隔脓肿,甚至危及生命。
对于扁桃体周围脓肿的治疗,目前以脓肿切开引流术为核心,辅以有效的抗生素抗感染及对症治疗,通常可治愈。需要注意的是,扁桃体周围脓肿疾病具有一定复发率,因此,建议患过扁桃体周围脓肿患者择期切除扁桃体,以免反复发作,形成病灶扁桃体炎,影响全身器官。
扁桃体周围脓肿有时也是在免疫力相对较差时由口腔机会致病菌引起。例如小张的脓液分离培养出的星座链球菌,就是一种口腔定植菌,当人体免疫系统低下时就乘虚而入。
雷文斌教授提醒,春节聚会多,饭局酒局多,要尽量保持劳逸结合、尽量规律作息,避免进食过于刺激性的食物,注意保暖,适当运动,快乐过春节。如出现咽喉疼痛缓解不明显,切记不可自行用药,尽早就医处理。
文|记者 陈辉 通讯员 吴旋 卢通
图|由受访者提供