春节期间,应酬多,探亲访友,劳碌过度,突聋发病率明显增多,春节假期还没结束,中山大学附属第一医院(简称“中山一院”)耳鼻咽喉科门诊就诊治了数十例突发性耳聋的患者,部分患者需要住院进一步治疗。
旅游特种兵,半路突聋
38岁广州市民王老师和几个朋友结伴出游,为了欣赏到更多美景,早出晚归,甚是劳累,出游第3天,王老师出现间歇右耳鸣及闷胀感,以为坐飞机引起咽鼓管不通,既往有类似经历,未留意,继续坚持外出旅游,当晚突发眩晕呕吐伴右耳听力丧失,在当地医院就诊,诊断突发性耳聋,建议马上住院治疗。
王老师吓坏了,身体好端端怎么就耳聋了。在当地医院对症处理后,王老师决定提前结束旅程,随即就坐飞机返回广州,就诊中山一院耳鼻咽喉科,听力检查示右耳全聋,中内耳磁共振(MR)未见异常,给予激素、降纤、改善内耳微循环等治疗,目前听力已恢复正常。
熬夜搓麻,第二日突聋
42岁的外地市民赵先生既往有高血压病史,平时口服降压药,血压控制平稳。春节前放假休息,一班雀友酒足饭饱后KTV,还熬夜通宵搓麻将,第2天赵先生出现左耳闷堵感听力下降伴眩晕呕吐,自行测量血压明显偏高,以为脑中风,赵先生一口气吃了4粒安宫牛黄丸,随即在当地医院就诊,听力提示左耳全聋,诊断为突发性聋。
赵先生几经辗转至中山一院耳鼻咽喉科特诊就诊,吴旋教授接诊患者,给予激素、鼓室注药及高压氧综合治疗1周后,赵先生的听力部分改善,目前正在康复中。

起病1周内是突聋治疗的最佳时机
吴旋教授介绍,突发性耳聋(简称突聋)是耳鼻咽喉科急诊常见病。《2015年突发性聋诊断和治疗指南》将突聋按照听力损失的频段分为四种类型,低频下降型、中频下降型、全频下降型和全聋型,治愈率依次递减,其中全聋型(语频听阈≥81dB)效果最差,只有14.29%。
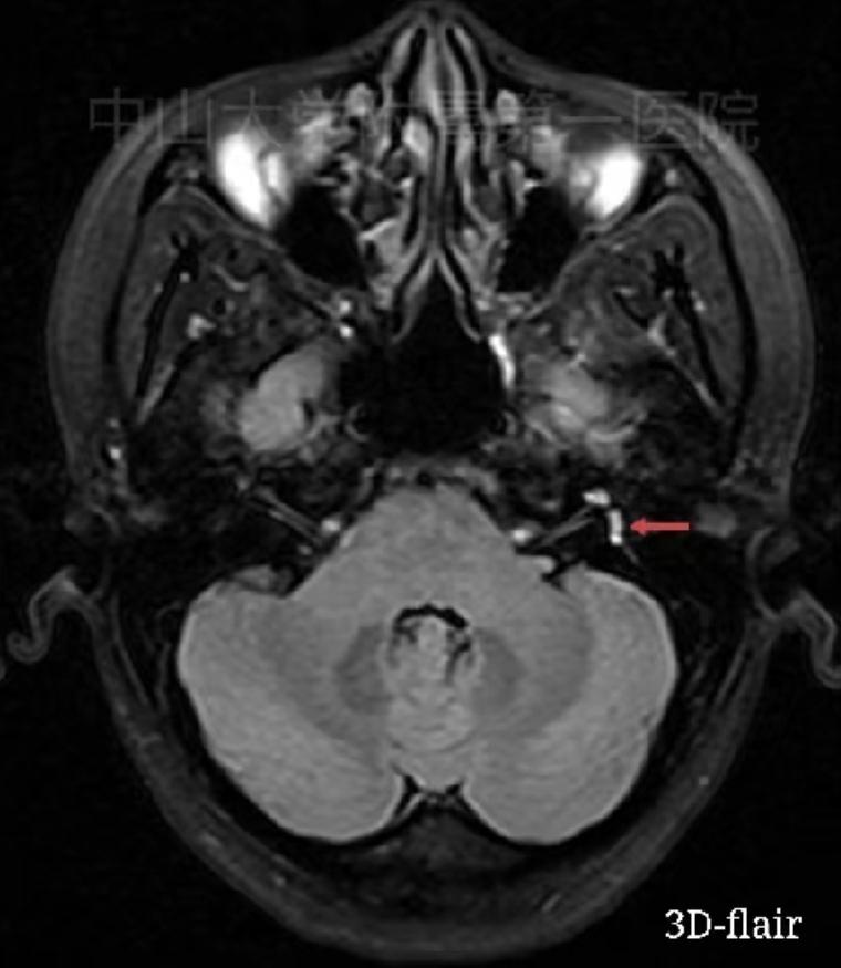
据文献报道,80%以上突聋病因不明确,可能病因如病毒感染、自身免疫、内耳微循环障碍等,全聋型突聋常见病因则是内耳微循环障碍,如内耳血管痉挛、栓塞甚至出血。由于内耳供血血管细小,目前磁共振影像技术还无法显示内耳血管是否栓塞,近几年,利用磁共振特殊影像系列,可以发现内耳出血,显示部分突聋发病与内耳出血密切相关。
尽管突聋明确病因无法查明,但突聋诱因却很常见,如起病前长时间熬夜、过度疲惫等,本期2个案例发病均与此有关。此外,长期工作及生活压力大、失眠、焦虑、抑郁等情绪异常波动也容易诱发突聋。
由于病因无法查明,缺乏对突聋病因的针对性治疗措施,故突聋治疗效果较难预测。一般认为,发病到开始治疗的时间越长,效果越差,起病1周内是突聋治疗的最佳时机,越早治疗效果越好;合并基础疾病如糖尿病、高血压、高血脂、尿毒症等,效果差;发病时伴随眩晕症状,效果差。
每逢佳节应酬多,小心突聋惹上身,吴旋教授提醒,春节假期,注意劳逸结合,保持身心愉悦及良好睡眠,勿过度劳累,避免烟、酒过量刺激;保持均衡饮食,多吃新鲜蔬果;控制好高血压、高血脂及糖尿病等全身慢性疾病;适当锻炼,增强体质,预防上呼吸道感染。
文 | 记者 陈辉 通讯员 方淑斌
图 | 受访者提供