65岁陈叔(化姓)不明原因咳嗽气促一年多了,皱皱巴巴的病历本上满载他这一年来寻医问药的艰辛。3月17日,饱受折磨的陈叔终于在广州市第十二人民医院(以下简称“市十二医”)呼吸科找到了罪魁祸首——在肺里“安家”的鱼骨,术后3天顺利出院。专家提醒,块状鱼骨与条形鱼刺的误吞风险不同,容易滑入肺部,误诊漏诊率高,市民进食应警惕。

鱼骨藏身左肺,专家:漏诊误诊率高!
一次CT、三次门诊、多次对症治疗,咳嗽咳痰气促反反复复,65岁陈叔烦恼不堪。
“在其他医院做过胸部CT,说是肺炎、也有说过是支气管炎。每次治疗后都有好转,但不久后又开始了。前阵子实在咳得难受,如果能缓解一点也是好的。”多次问诊经历以及反复出现症状,让陈叔心情烦闷。
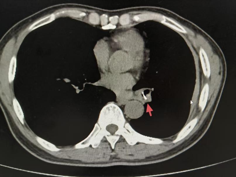
在市十二医再次接受的胸部CT结果显示,陈叔左下肺支气管有可疑异物影像。追问病史时,陈叔回忆起一年前吃鱼时曾有剧烈呛咳史,但当时症状自行缓解。呼吸科副主任医师陈子谓敏锐地捕捉到了这一关键信息,随后的纤维支气管镜检查也印证了他的猜想。镜下清晰可见一块疑似骨头的异物嵌顿于左下肺支气管,周围组织已形成化脓性炎症。困扰陈叔一年多的罪魁祸首终于现形。

陈子谓表示,临床常见误吸异物包括鱼刺、骨片、假牙、花生、坚果及小玩具等,气道异物在儿童或成人的不明原因咳嗽、肺部感染中均为重要病因,误诊漏诊率高,病死病残率也较高。“因为本院在职业病防治尤其是‘尘肺’诊断治疗方面有丰富经验,所以影像科医生第一时间通过影像发现潜在问题。”
20分钟精细手术,解决一年痛苦
经抗感染治疗控制局部炎症后,3月27日,该院呼吸科团队为患者实施纤维支气管镜异物取出术。在麻醉团队精准施麻支持下,术中患者呛咳反应轻微、生命体征平稳,主刀医生手持支气管镜快速探过声门、气管、左主支气管,抵达左下叶基底段开口处见一片“块状鱼骨”嵌顿在亚段支气管内,但不规则鱼骨易划伤黏膜、部分骨块软化,嵌顿位置狭窄、炎症水肿等均为手术增加难度。
“通过支气管镜呈现的高清画面显示,异物钳轻轻咬住骨块缓慢牵拉,多次尝试后鱼骨有所松动,随后咬住较坚硬部位再次牵拉至左支气管管腔,改换伸入异物网篮将鱼骨套住,鱼骨滑动再次掉下基底段开口。遂退出异物网篮、再伸入异物钳,轻轻咬住鱼骨硬脊,边退支气管镜边将鱼骨慢慢自左下叶支气管、气管、声门带出。”主刀医生描述的取骨过程,细心和耐心同样重要。

历时20分钟,一块大小约1.3x1.5cm的不规则鱼骨被成功取出。术后陈叔咳嗽咳痰症状显著改善,术后三天即康复出院。


新闻知多D——
块状鱼骨vs条形鱼刺,哪个更危险?
块状鱼骨和条形鱼刺,哪种更为凶险?陈子谓介绍:“两种形态的异物所造成的威胁有较大差异。块状鱼骨由于较为光滑,容易滑入声门经气管呛咳入肺部;而条形鱼刺则容易划伤刺破气管,从而形成‘瘘’,但难以滑入肺部。”
专家提醒,气道异物滞留急性可导致气道阻塞、窒息,慢性则可能致阻塞性肺炎、肺脓肿甚至支气管胸膜瘘等。因此进食时应注意细嚼慢咽,若在进食后出现持续咳嗽、反复肺炎等情况,建议尽早进行支气管镜检查排除异物可能。如气道异物梗阻发生时,可第一时间采用海姆立克急救法进行急救。
文|记者 林清清 通讯员 周艳梅 廖温勃
图|医院提供