“孩子门牙撞断时,家长们往往惊慌失措,拿着牙齿的手比孩子抖得还厉害。”广州医科大学附属市八医院口腔科副主任医师麦剑波作为一名男孩子的父亲,他特别理解家长们的焦急心情。
近日,他接诊了一名9岁因运动摔断两颗门牙的男孩辰辰,并通过“活髓保存+断牙再接”技术让牙齿重新长回去了。这场教科书级急救的背后,藏着每位家长都该掌握的牙齿急救指南。

断牙30分钟紧急营救:牙医爸爸的魔法修复术
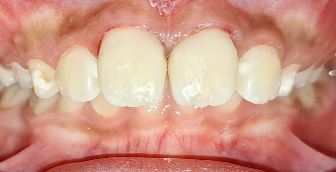
上周一上午9点,辰辰妈妈带着孩子来到看口腔科诊室,手里还拿着一个小杯子。"医生,孩子半小时前摔断了门牙,您快看看还能接回去吗?“麦剑波检查发现,男孩两颗门牙牙冠折断,拍片牙根无折断,暴露出来的牙髓也未被污染。
“9岁的孩子,牙根还没发育完全,必须保住活髓。”他立即为辰辰实施局部麻醉下活髓保存术,用生物陶瓷材料覆盖暴露的牙髓,随后用高强度粘接剂将断牙精准粘回去。40分钟后,辰辰的牙齿几乎看不出断裂痕迹。
“这不是简单的拼积木,而是和时间赛跑。”麦剑波表示,孩子的恒牙的牙髓在外伤后30分钟至2小时是救治黄金窗口,“断牙就像刚离土的幼苗,细胞活性随时间流逝快速下降”。

家庭急救三要诀:含舌下、泡牛奶、忌纸巾
面对突发牙外伤,麦剑波给家长划出重点:
1. 冷静止血:用干净纱布按压牙龈5-10分钟,同时检查是牙冠断裂、牙根折裂还是整颗脱落;
2. 科学保存:找到断牙后捏住牙冠(切勿触碰牙根),用生理盐水或牛奶冲洗后,优先含在舌下或浸泡保存;
3.与时间竞速:脱落牙30分钟内再植成功率最高,断牙修复也需24小时内处理。
“千万别用纸巾包裹断牙,干燥环境会杀死牙根细胞。”麦剑波特别提醒,夜间受伤可直奔口腔急诊,并建议家庭常备“牙齿急救包”——内装储存盒和生理盐水。
运动护齿+正畸防护:给门牙上“双保险”
治疗结束后,麦剑波给辰辰妈妈开出第二张“处方”:定制运动护齿器和正畸评估。“孩子的上前牙外突,像‘小兔子’门牙更容易受伤。”他解释,约60%牙外伤患儿存在前牙外突的问题,佩戴运动护齿器能缓冲70%-90%的冲击力,而适时正畸可从根本上降低受伤风险。
术后管理也同样重要,由于断牙是粘回去的,1-2个月需吃软食避免患牙受力,且要连续6个月定期复查。“牙齿可能默默地受伤,有些牙髓坏死要到数月后才显现。”麦剑波也表示,“术后1周、1个月、3个月、6个月复查,每年拍片观察牙根发育。少数病例可能出现牙髓坏死导致牙齿变色,这种情况要做根管治疗,成年后再冠修复。但家长不必过度焦虑,只要及时科学处理,多数孩子都能像辰辰这样把掉的牙齿再接回去。”
文|记者 张华 通讯员 刘琪莎
图| 受访者提供