不少父母都经历过宝宝“二月闹”的阶段性难题。广东佛山一宝妈发现孩子从二月龄起就出现头嘴歪斜、双手轻微抖动的表现,起初以为是“二月闹”,却没料到,这样的“怪闹”越来越频繁,折磨了孩子3年。前段时间才查出是下丘脑错构瘤导致的痴笑样癫痫。医生提醒,痴笑样癫痫若不及时治疗,可能会影响生长发育。
“二月闹”不止,原是痴笑样癫痫
今年3岁的轩轩(化名)是罗婷(化名)的第三个孩子。在轩轩2个月大时,罗婷就发现儿子的脑袋和嘴巴经常歪向一侧,双手也不时微微抖动,“当时以为是‘二月闹’。”可轩轩到七个月大时还不会坐,类似“哭闹、痴笑”的表现却愈发频繁。
此后,罗婷带着轩轩辗转国内多家医院,始终无法查明病因。在不同地方尝试了理疗、中药、针灸等多种疗法,轩轩的病情也未见好转,每10-15分钟就会发作一次,晚上还会因为不自主的手脚抖动醒来。而且轩轩走路、说话等发育也落后于同龄孩子。
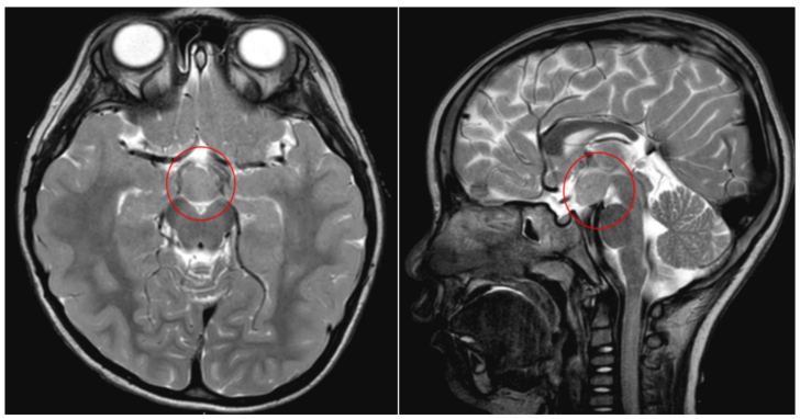
2024年10月底,在一家上海的医院查出轩轩脑袋里存在错构瘤。然而,服药仅能延长轩轩发作的间隔,无法控制病情。今年4月初,为寻求进一步诊疗,罗婷带着轩轩来到广东三九脑科医院。
该院神经外八科二区(癫痫外科)副主任陈俊喜接诊后,与癫痫中心团队联合会诊,根据检查结果,诊断患儿为下丘脑错构瘤引发的痴笑样癫痫。“患儿的‘哭闹’表情,其实是痴笑样癫痫的表现。”陈俊喜介绍道。


置入6根电极,精准热凝毁损治疗
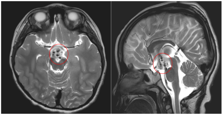
在手术机器人辅助下,陈俊喜带领团队为患儿进行了立体定向脑电图(SEEG)微创置入手术,将6根电极精准置入患儿颅内瘤体,确定放电核心位点后进行微创热凝毁损治疗,解决患儿癫痫发作的情况。
“手术后第一次打针,他还跟医生说‘OK’!”术后,罗婷发现轩轩的语言能力和自控力有所提高,最重要的是,以前每天发作几十上百次,术后全消失了。

陈俊喜介绍,下丘脑错构瘤虽名为“瘤”,但并不是真正的肿瘤,而是较为少见的先天性脑组织发育异常性病变,好发于幼儿,主要表现为痴笑样癫痫。
“患儿突然痴笑常被认为是正常表现,往往被忽视。若不及早进行治疗,会影响生长发育。”陈俊喜提醒,痴笑样癫痫以不自主的发作性傻笑为特征,可持续数秒或数十秒,每天发作数十次,不分清醒或睡眠状态,偶尔伴有哭泣。少数可伴随小便失禁、强直、自动症、阵挛等,还可出现早熟、认知功能障碍等症状。
文|记者 林清清 通讯员 张小美
图|医院提供