36岁的谢先生(化名)经历车祸重伤、ICU抢救后,本以为重获新生,却因一根“吸管”粗细的气管艰难喘息,命悬一线。近日,广州市花都区人民医院呼吸与危重症医学科联合麻醉手术科,运用支气管镜介入技术,成功为谢先生解除了致命的气管狭窄,让他重新畅快呼吸。
呼吸困难的“元凶”,竟是气道狭窄
今年36岁的谢先生,两个月前开始饱受呼吸困难的折磨。这份痛苦源于一次不幸——3个多月前,他因车祸导致多发伤和重症肺炎,在ICU经历了抢救。经过精心治疗,他最终康复出院。然而,出院仅一个月,他就开始感觉“气不够用”,走路稍快就喘不上气,喉咙里还发出异常的鸣响。这让他再次陷入恐慌。

谢先生进行多次检查,尝试了多种平喘药物,但症状不仅没有缓解,反而进行性加重,连平地行走都变得异常困难。近乎绝望之际,他来到广州市花都区人民医院呼吸与危重症医学科门诊。
入院后经检查发现,谢先生声门下气管出现明显狭窄。导致他呼吸困难的“元凶”终于浮出水面——中央气道因肉芽组织疤痕增生,引发严重的良性中心气道狭窄。

呼吸介入妙手打通“生命通道”
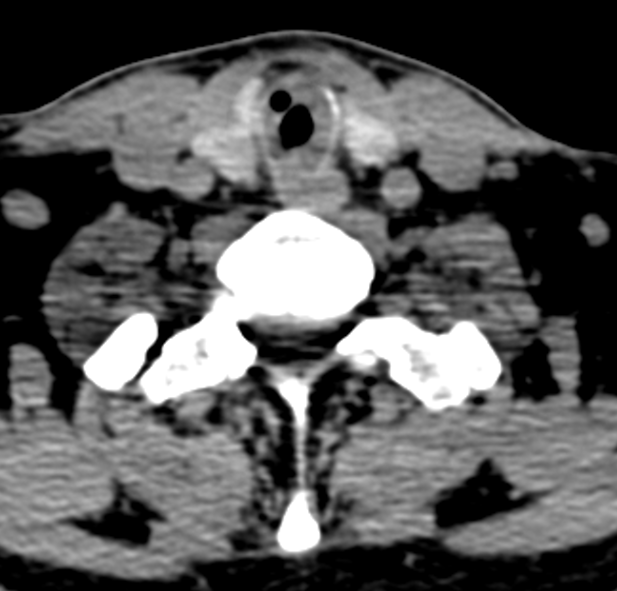
“这相当于患者每分每秒都在通过一根饮料吸管呼吸。”CT显示,狭窄处管腔4mm,狭窄程度高达80%,狭窄段长达2厘米。广州市花都区人民医院呼吸与危重症医学科主任医师招树涛表示,一旦有少量痰液堵塞,就可能引发致命性窒息,抢救窗口期极短。
面对凶险的病情,传统的开胸手术创伤大、风险高。主任医师招树涛团队当机立断,决定依托科室成熟的呼吸内镜介入技术,为谢先生实施微创手术。手术需要极高的精准度和团队配合。在麻醉手术科主任医师沈宁团队保驾护航下,采用静脉麻醉结合喉罩插管、呼吸机辅助通气,确保了手术过程患者的安全与舒适。

手术中,主任医师招树涛团队通过支气管镜精细操作,精准定位狭窄部位。在团队密切配合下,历时1个多小时,手术顺利完成。
当谢先生从麻醉中苏醒,立即感受到呼吸的畅快——困扰他许久的憋闷感消失。得益于微创技术创伤小、恢复快的优势,他在术后第二天便顺利出院。一周后,谢先生返院接受第二次纤支镜介入治疗巩固疗效。复查显示,其气道狭窄程度已从80%改善至20%,接近正常水平,呼吸功能基本恢复如常,如今已能自由活动,回归正常生活。


家门口有“医”靠!
广州市花都区人民医院呼吸内镜介入诊疗技术发展迅速并日益成熟。科室已能独立开展包括良性/恶性气道狭窄的球囊扩张术、冷冻治疗、气道肿瘤消融(激光、电刀、氩气刀等)在内的一系列高精尖技术。
这些技术的广泛应用,让花都区的广大患者在家门口就能享受到优质的医疗服务,不仅解除了病痛,也大大节省了患者的就医时间和负担,真正践行了“让爱心绽放”的理念。
专家简介
招树涛

主任医师,从事一线临床、教学、科研工作二十余年,担任广东省医学会呼吸病学分会慢阻肺联盟成员、广东省医学会呼吸病学分会肺癌学组成员以及广东省医师协会肿瘤重症专业委员会委员等社会任职。
对呼吸系统疾病:慢性咳嗽、慢性阻塞性肺病、支气管哮喘、各类肺炎、肺结节、肺部及纵隔肺门肿瘤、呼吸衰竭、间质性肺病、肺心病、肺栓塞、肺动脉高压等有丰富诊疗经验。在肿瘤呼吸病学、重症哮喘、肺损伤机制研究等有深厚造诣。擅长呼吸内镜诊断及三四级介入治疗手术。
主持及参与国家、省、市级科研课题6项,其中主持国家卫健委及广东省卫健委卫生适宜技术推广项目各1项。此外,主持多项省、市级继续教育项目,以主编身份参与编写著作2部,在核心期刊发表专业论文20余篇,并作为药物临床试验主要研究者(PI)主持多项药物临床试验。
呼吸与危重症医学科简介
广州市花都区人民医院呼吸与危重症医学科是通过中国医师协会呼吸医师分会PCCM认证的呼吸疾病诊疗中心,是花都区重点专科、花都区首批住院医师规范化培训基地、医院重点学科。
科室开放床位89张,设有2个病区、呼吸内镜室、肺功能检查室、RICU、临床药物试验室、睡眠监测室。现有医护人员53人,其中医学博士2名,正高级职称4名、副高级职称4名、中级职称20名、初级职称25人,接诊来自花都区和周边地区呼吸疾病患者。科室特色技术包括支气管镜检查、诊断与治疗,能开展众多高精尖三四级支气管镜诊疗技术。
医院为广州医科大学附属第一医院国家呼吸医学中心协助单位,科室与广州医科大学附属第一医院/广州呼吸健康研究院深入合作,知名教授定期莅临科室指导,开展专家门诊、查房、会诊、MDT,并在科研培训、教学活动等多方面进行全面指导。
文、图|王沫依 吴嘉敏 刘聪