近日,76岁的彭伯(化名)无意间摸到的腹部硬块,竟是一个巨大的恶性肿瘤!更棘手的是,彭伯还患有十多种基础疾病,手术风险极高。面对挑战,广州市花都区人民医院胃肠外科联合多学科力量(MDT),成功为老人实施了高难度肿瘤切除术。
七旬老伯腹部硬块竟是肿瘤
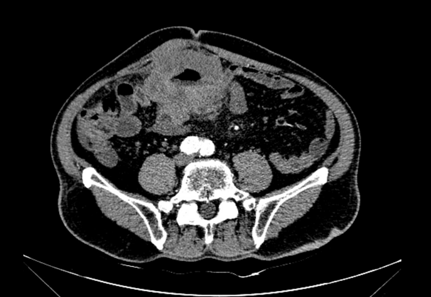
76岁的彭伯因自觉腹部包块一月余,前往广州市花都区人民医院胃肠外科就诊。腹部增强CT检查发现约8cm×6cm的巨大实性占位性病变,肿瘤已明确侵犯小肠系膜及邻近腹壁组织,并伴有区域淋巴结转移。更为棘手的是,彭伯同时合并冠心病、高血压、糖尿病等十余种基础疾病,身体机能储备差,手术耐受性面临挑战,风险极高。

多学科联手“精准”拆弹
面对高龄、高侵袭性肿瘤、多合并症的复杂病例,胃肠外科主任王晓龙评估后明确,手术切除是争取生存的关键。
为精准治疗,胃肠外科迅速启动多学科诊疗(MDT)机制,联合麻醉手术科、心血管内科、医学影像科、重症医学科等科室,共同制定个性化手术方案。其中,麻醉手术科严格把控麻醉风险,心血管内科全程监测维护心功能,医学影像科精准定位肿瘤位置及范围,重症医学科与护理团队则负责术后监护,并落实加速康复外科(ERAS)措施,多学科紧密协作,为手术安全及术后康复全程保驾护航。
术中王晓龙主任团队为彭伯实施了肿瘤根治性切除术。术中所见证实肿瘤体积巨大、质地坚硬,与周围肠管及系膜、腹壁形成致密粘连。手术团队凭借精细操作,成功将肿瘤连同受累的部分小肠系膜及腹壁组织完整切除,并清扫了肿大淋巴结。

术后病理诊断为胃肠道间质瘤、腹部淋巴瘤。彭伯恢复良好,术后第2天即可下床活动,未出现严重心肺等并发症,最终顺利出院。
警惕两类易被忽视的腹部肿瘤
两类早期症状隐匿、易被误诊的腹部肿瘤:
1.小肠间质瘤:
•起病隐匿:早期常无明显特异性症状。
•常见表现:随肿瘤增大,可能出现腹痛、腹部触及包块、不明原因的消化道出血(如黑便、呕血)及贫血等。
•易被混淆:其消化不良、腹痛等症状易被误认为普通胃炎或肠功能紊乱,导致延误诊治。

2.腹部淋巴瘤:
•典型特征:常表现为无痛性、进行性增大的淋巴结肿大(腹腔内或体表)。
•全身症状:可伴有反复发热(尤其夜间)、盗汗、短期内体重明显下降。
•认识误区:腹腔淋巴结肿大易被忽视或误判为慢性炎症。
王晓龙强调:“这两类肿瘤早期症状均不典型,容易漏诊,但部分类型进展可能较快。提高警惕、及早就医是关键。”
专家简介
王晓龙

广州市花都区人民医院胃肠外科主任、主任医师,广东医科大学硕士研究生导师。长期从事腹部疾病及胃肠肿瘤的临床和基础研究,对胃肠疾病的诊治有丰富的经验。擅长结直肠肿瘤、胃肿瘤及胃肠道间质瘤的微创外科治疗,腹腔肿瘤及腹膜后肿瘤外科治疗,中晚期胃肠肿瘤的综合治疗,胃肠手术的加速康复外科治疗。曾在天津、北京肿瘤医院等多家肿瘤专科机构研学。发表论文30余篇。
现担任中国医师协会结直肠癌肝转移专业委员会委员、中华医学会肿瘤学分会肿瘤转化医学组组员、广东省基层医药学会中西医结合胃肠外科专委会副主任委员、广东省老年保健协会胃肠微创专委会常委、广东省精准医学应用学会胃肠肿瘤分会常委、广州市医师协会普通外科医师分会常务委员以及广州市医学会肿瘤学分会常务委员等社会任职。
胃肠外科简介
广州市花都区人民医院胃肠外科成立于2019年,是广州市医学重点学科消化病学科组成科室之一、广州市医学会普外科分会主任委员单位。

科室设置腹腔镜及内镜微创外科中心、胃肠外科学组、腹腔肿瘤外科学组等,开放床位46张,是外科住院医师规范化培训基地重要轮训科室。现有医师13名,其中博士生导师1名、硕士研究生导师4名、岭南名医1名、花都名医3名、学科带头人2名、正高职称4名、副高职称3名、博士1名、硕士研究生12名。
近年来,科室常规开展了腹腔镜结直肠癌根治术、腹腔镜胃癌根治术、腹腔镜后腹膜肿瘤切除术、腹腔镜胃肠间质瘤、代谢减重手术等多项新技术,并开展肠梗阻、急腹症、消化道出血、克罗恩病、急性出血性肠炎、小肠梗阻(包括肠黏连、肠扭转、肠套叠、肠系膜血管缺血性疾病)、短肠综合征、小肠肿瘤、小肠瘘及胃肠恶性肿瘤综合治疗及全程管理。其中三、四级手术占比达80%以上,微创手术占比达90%以上。
文、图|王沫依 吴嘉敏 刘聪