24岁的广州妹子吃了顿牛蛙大餐后出现腹痛难忍,送医院检查后发现罪魁祸首竟是一根被误吞的牛蛙骨头,小肠差点被捅破,非常凶险。
医生提醒,医院每年都会收治多例消化道异物的患者,有孩子也有大人,取出的异物也是形形色色,不仅有牛蛙骨头,还有牙签、磁力棒、枣核,临床还有人曾取出假牙、电池等。
这些异物可能会卡在食管、胃或肠道中,运气好的患者或许能自行排出,或是消化内镜下取出,但若是异物的形状、性质、大小以及卡住的位置不太“友好”,就有可能引起不适、疼痛、出血甚至穿孔等。日常生活中,应避免将异物放入口中,如果不慎吞入异物,不要强行用饭团吞咽,以免异物移位损伤血管或脏器,也不要盲目用土方。
囫囵吞“骨”引发的“血案 ”!
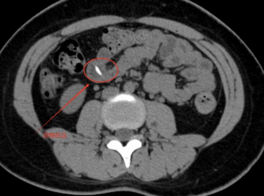
故事要从6天前那顿聚餐说起,家住番禺的小刘(化姓)一家人在外面吃饭,谁知隔天早上,她开始出现上腹隐痛,进食后疼痛加剧,虽休息可自行缓解,但上腹及脐周胀痛症状反复,6月21日,忍无可忍的她来到广东祈福医院普外中心门诊,张永祥副主任医师接诊,腹部CT检查发现:中腹小肠内高密度影,高度怀疑是消化道异物惹的祸,门诊拟“腹痛”收治入院。

中后段小肠腔内卡着的约2cm的棒状异物,两端尖锐刺入肠壁黏膜。管床医生卢嘉豪反复阅片后追问病史,小刘几番回忆才想起几天前在外聚餐,吃了桌上的牛蛙,可能就是当时无意中吃下去的。而这个“牛蛙骨刺客”也是个狠角色,顺着食管、胃一路向下,滞留于小肠。如果不及时处理,可造成小肠穿透性损伤,导致肠穿孔、消化道出血、腹腔感染等严重并发症。
肚脐眼里做手术,2cm异物“落网”
尽管情况紧急凶险,但小刘及家属保守治疗意愿强烈,卢嘉豪医生请示崔东明主任后,先安排禁食、肠道准备、抗感染、补液营养等保守处置方案。严密观察三天过去了,复查CT见异物纹丝不动,腹痛却越来越严重。“这个东西横向卡在小肠内,尖端已经戳破了肠黏膜进去肠壁深层,再拖下去,肠壁被穿透可致肠液漏进腹腔会引发感染。”卢嘉豪医生建议及时手术取出异物。
传统开腹手术需要切开肠管取出异物,小刘担心手术创伤较大、会留疤。为尽可能降低损伤,经崔东明主任团队深入讨论后,决定采用创新性方案——经脐单孔腹腔镜小肠异物取出术,肚脐是天然的“疤痕隐藏位”,愈合后创伤极小。

手术当天,麻醉团队实施全身麻醉后,患者进入深度麻醉状态。崔东明主任携手卢嘉豪医生展开手术,于脐部皱褶处作一个小切口,建立器械操作通道,术中仔细探查,在回肠中段见一长约2cm牛蛙骨头,横刺于小肠两侧壁,邻近肠壁充血水肿明显。手术团队用钳子完整取出异物,这根牛蛙骨头结束了惊险的人体之旅,手术顺利完成。

78%的消化道异物会引发并发症
术后,小刘腹痛症状消失,通过抗炎、营养支持治疗,7月1日康复出院。

研究数据表明,约78%的消化道异物会引发并发症,包括穿孔风险、出血隐患、肠梗阻、慢性炎症等,正确做法是及时送医,由医生检查评估后进行规范治疗。
最后,还要提醒一下家人们:预防大于治疗,吃饭时不要说话,尽可能细嚼慢咽,
尤其食用带骨肉类时,建议:分离骨肉后再入口,进食时避免说笑,佩戴义齿者需格外警惕!
文|记者 陈辉 通讯员 戴敏
图|医院提供