近期,“铅中毒”话题引发公众关注。有网友发现,牙龈边缘出现蓝黑色或者灰黑色线条,担心是铅中毒征兆。广州医科大学附属口腔医院牙周病科主任申玉芹指出,这可能是铅在体内蓄积的一种表现,但单不一定是铅中毒。另外,牙齿上的色素沉着容易与“铅线”相混淆,需结合医学检查综合判断。

“铅线”成因:
重金属与口腔细菌的化学反应
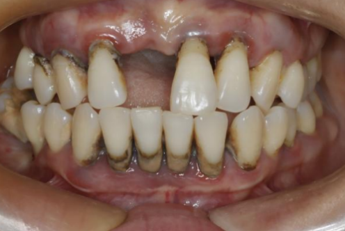
慢性重金属中毒可能会在牙齿上有蛛丝马迹。据广州医科大学附属口腔医院越秀院区牙周病科宫海环博士介绍,当铅、汞等重金属通过饮食、呼吸、皮肤接触等途径进入人体后,会随血液循环至口腔。口腔细菌分解食物残渣产生的硫化氢与铅离子结合,形成硫化铅等化合物,沉积在牙龈边缘,呈现为边界清晰的蓝黑色或灰黑色线条(医学称“伯顿氏线”),常见于下颌前牙唇侧牙龈。
牙龈“铅线”是慢性重金属中毒过程中可能出现的一个较晚期的口腔体征。宫海环医生说,一般来说,重金属在体内蓄积久了,也会在牙齿和牙龈上有表现,最常见的是铅(灰黑色),其次是汞(灰蓝)、铋(蓝黑色)、银(黑色颗粒)。“铅线”随着量的增多,可能会突出到牙龈外边,到牙齿上。

“黑线”≠铅中毒?需警惕混淆因素
当发现牙齿龈缘上出现一条深色的“黑线”时,确实要敲响警钟,但未必就是中毒,需要科学区分。广州医科大学附属口腔医院牙周病科主任申玉芹指出,一方面,铅线的出现确实提示体内有铅蓄积,但这并不等同于达到“中毒”的诊断标准。铅中毒的诊断需要结合血液铅含量检测、临床症状(如头晕、乏力、腹痛等)以及铅暴露史等多方面因素综合判断。
宫海环也提醒,“一些其他因素也可能导致牙龈出现类似‘铅线’的色素沉着,比如长期服用某些药物、牙龈局部炎症、色素沉着异常等,需要通过专业检查进行鉴别。”
牙龈铅线与色素沉淀的本质区别在于:铅线是重金属中毒的特殊体征,表现为牙龈边缘灰暗色线状沉积;而色素沉淀多为饮食或口腔卫生导致的牙齿表面染色,无系统性健康危害。
专家特别提醒,对于确诊铅中毒的患者,在全身治疗的同时,通过洗牙(洁治)的手段能有效清除沉积在牙龈边缘的硫化铅,使铅线消失。但这只是治标,核心仍是降低体内铅负荷。
文| 记者 张华
通讯员 刘凤屏 李耀文 郭千千 吴启琦