从一米高处跳下的跳跃,让44岁的王先生(化姓)陷入了右膝关节“支离破碎”的险境——右胫骨平台遭遇严重的粉碎性骨折,并迅速引发了可能致残的骨筋膜室综合征。近日,经过4个多小时的高精度“骨拼图”手术,王先生碎裂的膝关节被成功修复,重燃了行走的希望。
一米高处跳下膝关节“爆裂”,并发症危急
据王先生介绍,他从约一米高的地方跳下时不慎摔倒,当即感到右膝剧痛、肿胀,无法站立。当地医院检查诊断为“右胫骨平台粉碎性骨折”,情况复杂而严重。更棘手的是,伤后他很快出现了“骨筋膜室综合征”——一种因内部压力剧增可导致肌肉神经坏死的危急并发症,在伤后7小时紧急接受了切开减压术和跟骨骨牵引术。为寻求更专业的治疗,王先生家人将其转至广州治疗。
胫骨平台爆裂性粉碎,复位难度大

入院完善相关检查后,广州和平骨科医院骨科中心学科带头人赵洪普教授组织医师团队进行了全科术前讨论,为王先生制定了详细的手术和康复治疗方案。
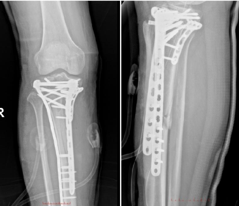
“这类骨折本身就非常复杂,像打碎的瓷器,想要复原难度非常大。”赵洪普教授解释,“从检查结果来看,王先生的胫骨平台呈爆裂性粉碎,关节面碎裂、塌陷严重,同时合并外侧半月板撕裂、内侧副韧带断裂。而且,患者本身有高血压,术中止血和术后感染防控都是很大的考验。我们的手术目标不仅是把骨头拼回去,更要最大限度恢复未来关节功能,避免创伤性关节炎,这对术者的技术水平要求非常高。”
超4小时“精雕细琢”,精准拼接复位
经过充分的术前准备,骨科中心副主任程伟强带领两名医师为王先生实施了高难度、多步骤的手术治疗。
手术团队通过精准设计的双侧L型切口,充分暴露“碎裂现场”,开始进行精细的“骨拼图”:先将碎裂、塌陷的关节面一块块翘起复位,用克氏针临时固定;接着,根据骨折块的部位和形态,巧妙选用T型钢板、L型钢板以及全螺纹加压空心螺钉进行组合式固定,为碎裂的骨骼搭建起稳固的“内部脚手架”;精细缝合了撕裂的半月板和内侧副韧带。C臂X光透视可见骨折复位良好,关节面平整。为防止感染并促进伤口愈合,手术还应用了封闭负压引流技术(VSD),并在术后用石膏托妥善固定。手术历时4个多小时顺利完成,出血控制良好。

术后,王先生恢复情况良好,骨折部位对位精准,未出现皮肤坏死、感染、深静脉血栓等并发症。目前,王先生正在康复治疗师的指导下,循序渐进地开展膝关节功能锻炼,防止关节僵硬和肌肉萎缩。
赵洪普教授特别提醒,此类重大手术后的科学康复至关重要:前期需严格遵医嘱进行石膏固定,坚持被动康复锻炼,3个月后可戴支具下地行走,但完全康复将是一个较长的过程。
专家提醒:骨折后要警惕“骨筋膜室综合征”
赵洪普教授特别提醒:胫骨平台粉碎性骨折常由高处坠落、车祸等高能量损伤导致,若处理不当易导致创伤性关节炎或关节畸形。这类骨折不仅严重,更要高度警惕其引发的“骨筋膜室综合征”。该并发症进展迅速,表现为肢体剧烈疼痛、肿胀、麻木、活动障碍,一旦发生需争分夺秒处理,否则将造成不可逆的肌肉神经损伤及肢体坏死,甚至危及生命。
因此,赵洪普教授建议,遭遇严重肢体外伤,尤其是肿胀疼痛异常剧烈时,务必第一时间到有处理能力的医院就诊,确保手术精准性与术后康复质量。
文 | 记者 陈辉 通讯员 李梅
图 | 医院提供