男子眼前频现“幻灯片”?不是“飞蚊症”,而是癫痫发作。治疗过程与原因更令人倍感惊悚:医生从他脑内“活捉”出一条长18cm的虫子!

眼前频现“马赛克”“幻灯片”
“虫子捉出来了,感觉轻松多了!”近日,29岁的湖南张家界小伙李正(化名)从广东三九脑科医院康复出院。回想起寄生虫在大脑“乱爬”的经历,仍后怕不已。他没料到,此前频繁视野闪光不是“飞蚊症”,而是寄生虫引发的癫痫;更没想到,病因或与多年前生吞蛇胆有关。
去年4月,李正首次发现左眼下方闪过“马赛克”样的亮光。此后不仅频繁出现,劳累时眼前还会闪现过往画面,像“幻灯片”般循环,左侧视野也逐渐缩小。“视野缺失近五分之一。”李正说,以为自己是“飞蚊症”,便到医院眼科就诊。
医院检查眼睛未见异常,但头部检查却发现李正大脑右侧有异常占位。辗转至上级医院,病灶性质始终成谜。当时除了视野差些,对日常工作生活影响不大,李正决定暂不手术。
今年7月31日,李正开车时突然失去意识,口吐白沫、四肢强直抽搐,癫痫大发作。为寻求进一步诊疗,他来到广东三九脑科医院。
手术“活捉”18cm虫子
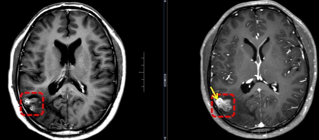
接诊的该院神经外八科二区副主任陈俊喜和王艮波主治医师,对比李正历次头部影像,发现病灶不仅位置移动,还呈现“隧道征”,高度指向脑裂头蚴病。后续血清检查结果也提示裂头蚴抗体阳性。

“除近期的癫痫大发作,患者此前频繁出现视野闪光、画面感,其实也是癫痫发作。”陈俊喜解释,从影像来看,虫体已从大脑深部爬至表层,正是手术取出的好时机。于是,他带领团队快速安排了裂头蚴捉取手术,成功从李正脑内取出一条长约18cm的活虫。

据李正回忆,前些年偶尔在野外抓到野生蛇,都会直接开膛破肚取蛇胆生吞。“吃过三四次。以为蛇胆对身体有好处,完全不知道可能有寄生虫。”李正说。
牢记“三不”,预防裂头蚴感染
“裂头蚴的感染途径主要有两种。”陈俊喜介绍,一是经口感染,食用未煮熟的含有裂头蚴的蛇、蛙、鳝鱼等,或饮用被剑水蚤污染的生水;二是皮肤或黏膜接触感染,使用生蛙肉、蛇肉等敷贴伤口、眼、口等部位。裂头蚴进入人体后可在各器官组织中寄生、游走和生长,一旦侵入大脑,会引发癫痫发作、肢体无力、头痛呕吐等症状,严重时影响神经功能。
如今康复出院的李正表示,“以后生的东西都不敢吃了!”
陈俊喜特别提醒,预防裂头蚴感染,要牢记“三不”:坚决不吃生食或未煮熟的食物,不要饮用生水,不要轻信偏方用生肉外贴伤口,从源头避免感染风险。
文、图、视频 | 记者 林清清 实习生 王雯燕 通讯员 张小美