
随着生活水平提升,奶茶、碳酸饮料风靡,加上口腔卫生管理不足,不少年轻人出现全口多颗牙龋损问题。龋病不仅影响咀嚼功能,还可能拉低颜值。牙齿问题需早发现早治疗,早期多为单一治疗,严重时则需系统性的综合诊疗干预。

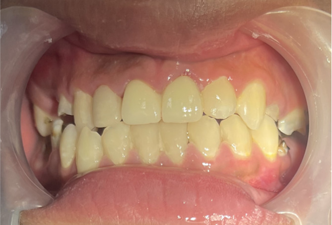
近日,广州市花都区人民医院口腔科通过规范的诊疗流程,为一名18岁男孩完成牙齿“蜕变”,让其重拾自信笑容。
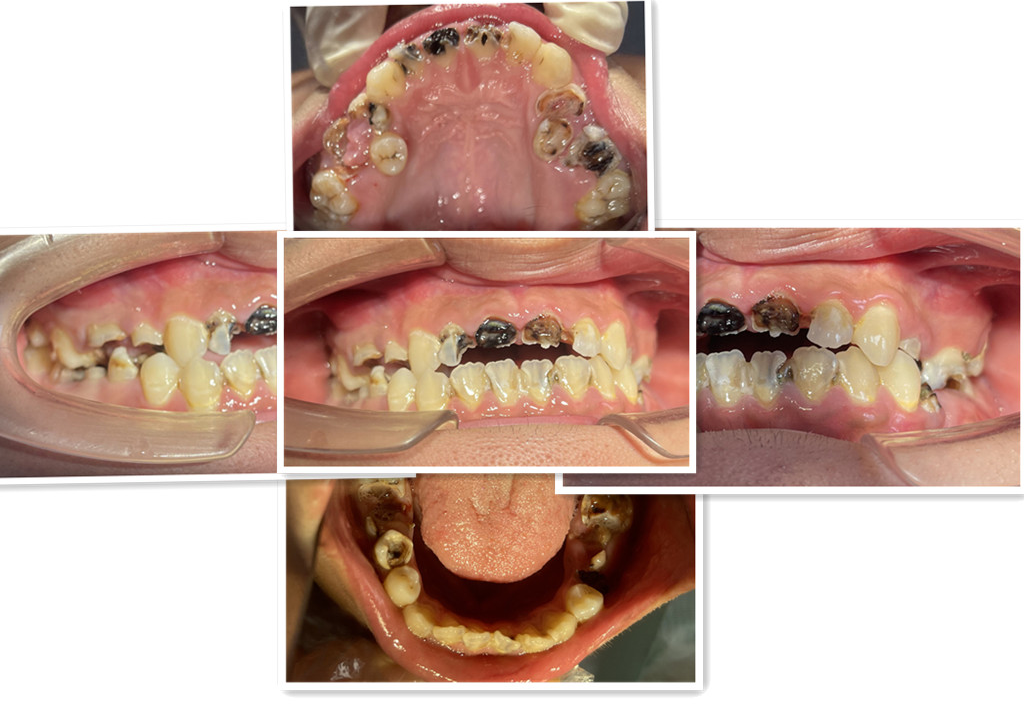
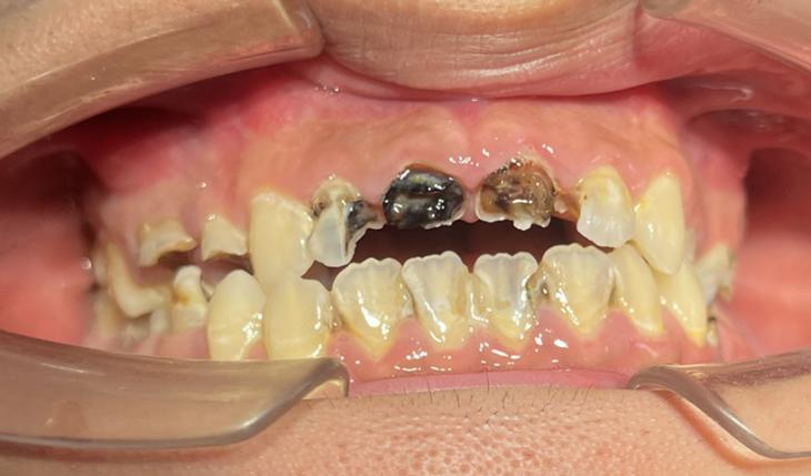
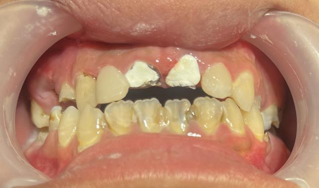
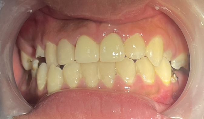
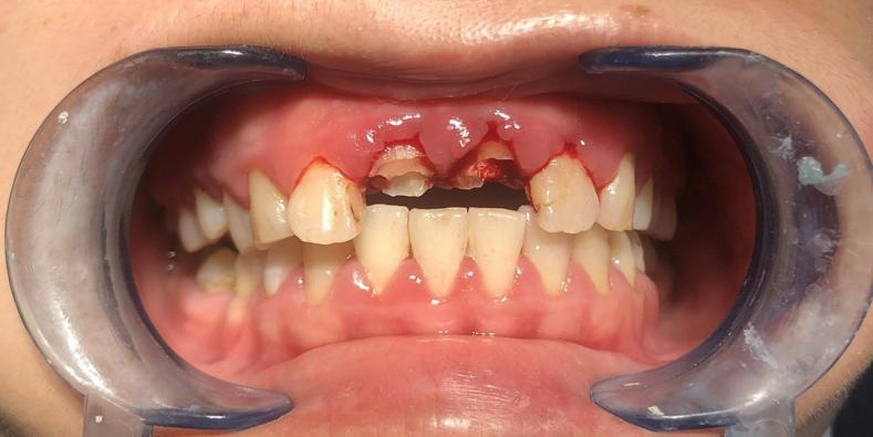
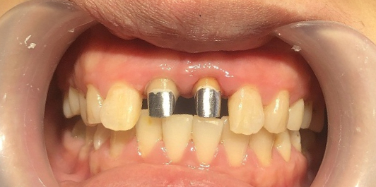
这名男孩就诊时满口黑牙,颜值大打折扣。广州市花都区人民医院口腔科结合放射检查、内科治疗、外科干预及修复重建等诊疗环节,制定了“拍片检查—牙周治疗—拔牙—根管治疗—桩冠修复”的系统性方案,后续还将为其缺失牙进行种植修复。


很多人对治牙过程中的检查、操作存在疑问:拍牙片辐射大吗?洁牙会不会伤牙?拔牙前为啥要验血?根管治疗到底有啥用?下面,我们就聊聊龋齿治疗里的那些科学知识。
拍片了解全口的情况
问:为什么牙科需要拍X光?
牙齿表面以下的部分(如牙根、颌骨、神经管等)是无法直接肉眼观察的。X光检查能帮助了解:
1.发现隐匿的蛀牙
2.检查牙根健康情况
3.评估颌骨结构和种植牙的可行性
4.诊断牙周病和囊肿等问题

问:辐射安全吗?
很多人担心X光检查的辐射问题。实际上,一张牙片的辐射量是非常低的,大约等于户外晒太阳一天的自然暴露量,7张全景片的辐射量约为一张胸片的辐射量。
全口洁治,拔牙
问:洁牙会损害牙齿吗?
专业的洁治不仅不会损害牙齿,反而是保护牙齿健康的重要措施。

问:为什么有人会觉得洁牙“损害”牙齿呢?
1.感觉牙缝变大了
这不是洁牙造成的,而是因为牙结石被清除了。长期堆积的牙结石填满了牙缝,洁牙后,被牙结石占据的空间空出来了,牙龈红肿消退后,恢复牙龈本来面貌,所以你会感觉牙缝变明显了。洁牙只是“还原真相”。
2.牙齿感觉敏感酸软
之前牙齿被厚厚的牙结石包裹,相当于穿了一件“脏棉袄”,对外界刺激不敏感。洁治后,牙齿突然暴露在正常环境中,会出现酸软感。这种状态通常是暂时的。

3.听说洁牙会把牙釉质磨薄
规范的洁牙操作不会损伤牙釉质,牙釉质是人体最坚硬的组织,超声波洁牙机的工作尖只是在高频振动,并没有切削力。
问:为什么拔牙需要验血检查?
1.评估凝血功能,防止出血不止
2.排除血液系统性疾病
3.了解有无全身感染性疾病(主要是传染性疾病)
4.评估血糖水平,尤其是糖尿病患者。
5.判断有无急性感染。
根管治疗,树脂充填修复
问:为什么要进行根管治疗呢?
如不处理感染的牙髓,会发生什么呢?感染会沿着根管向牙根尖端扩散,导致牙根尖周围骨头发炎、化脓,形成根尖周炎,牙槽骨吸收,甚至发展为严重的囊肿或蜂窝织炎。最终,需要拔除。因此,根管治疗的目的在于:
1.消除疼痛,可以从根本上消除牙齿炎症造成的疼痛。
2.预防下唇感染,阻止炎症扩散。
3.保全牙齿,避免拔牙。根管治疗最大限度地保留了你的牙齿,避免拔牙带来的麻烦和后续更昂贵的种植和镶牙费用。
4.为后续修复提供基础,根管治疗为牙齿的长期存活和正常的使用打下了坚实的基础。



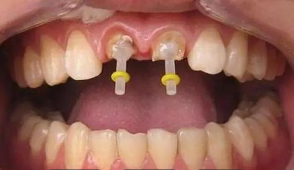
桩核冠与全冠修复
桩核冠则是先制作一个桩核,然后再取模制作牙冠,这种方法通常需要更多的就诊次数。在材料选择上,桩核和桩冠可以根据具体情况选用金属、瓷或纤维等不同材料,每种材料都有其优缺点,如金属桩强度高但弹性差,纤维桩弹性好但可能不适合所有病例。


全冠修复种类:
1.铸造金属牙冠:全部由金属铸造出来的牙冠,色泽和不锈钢、金属差不多,现在主要用于后牙修复,因为前牙比较注重美观,一般不会用,只会用到后牙做修复。
2.烤瓷冠:其内部是一层金属,外部熔覆一层瓷。内冠不同分为不同种类,通常用的是钴铬合金内冠,还有是由黄金、白金、银钯等贵金属制作而成,贵金属烤瓷冠。
3.全瓷冠:不含金属成分,又分为铸瓷、玻璃陶瓷和二氧化锆全瓷冠三种。氧化锆全冠硬度好,美观尚可,目前运用较多。铸瓷、玻璃陶瓷美观及通透性佳,但是硬度不足,仅适用于前牙及单颗牙。



从检查到修复,一口牙的“蜕变”离不开规范的诊疗流程与各环节的精准配合。广州市花都区人民医院口腔科团队将以专业、严谨的态度,为广大市民的口腔健康和美丽笑容保驾护航。
口腔科简介

广州市花都区人民医院口腔科是集临床、教学与科研于一体的综合性科室,现有15名医生,包含2名正高职称人员、3名副高职称人员以及6名硕士研究生。科室先后与北京大学口腔医院颌面外科、空军总医院头颈肿瘤外科、中山大学口腔医院颌面外科、广东省口腔医院种植科结为友好科室,达成医疗技术对接,实现医疗资源共享。
科室配备了先进的口腔诊疗设备。目前,科室主要负责牙体牙髓病、牙周病、牙列缺失、口腔牙颌面畸形、口腔颌面部肿瘤以及骨折等疾病的诊治工作。已常规开展显微镜下根管治疗术、复杂牙种植术、义齿修复、颌骨骨折切开复位内固定术、颌骨囊肿摘除术、腮腺肿瘤切除术等术式。在游离骨、肌、皮瓣移植修复颌面部组织缺损,实现功能和美观重建,以及口腔癌的序列治疗等复杂手术方面经验丰富。2024年,独立完成了花都区首例口腔癌根治和修复重建术,填补了区内此项技术的空白。
文、图|王沫依 李秋萍 刘聪