日前,来自广东肇庆22岁的陈女士(化姓)从门牙内侧剖出了一颗“鸽子蛋”大小的囊肿。“我还以为是上火牙疼,没想到是个囊肿!而且跟两年前摔了一跤摔断牙有关!”成功手术取出囊肿的陈女士回想起来仍感到不可思议。为其手术剖出囊肿的医生提醒,牙外伤发生后应定期复诊、动态监测牙髓和牙根情况,一旦发生变化及时干预。
以为是上火,结果是个大囊肿
“牙龈肿胀、有轻微疼痛,感觉症状跟吃东西‘上火’一样。”在广州市第十二人民医院口腔科医生剥茧抽丝的问诊下,陈女士回忆起两年前的一件往事。“当时摔了一跤,磕断了一小块牙齿,在当地医院进行了牙冠处理,后来没感觉有其他不适,便没有继续关注了。”
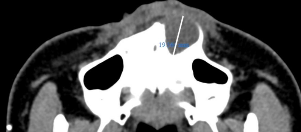
接下来的进一步检查印证了医生的推论。CT检查显示,陈女士这颗门牙根尖处,长了一个直径19.56mm大小的囊肿,侵及了旁边的侧切牙,牙槽骨外表面的骨壁已被压迫吸收。

该院口腔科主治医师张歌畅表示,陈女士的门牙在受到外伤后,牙髓逐渐坏死,引起了牙根周围炎症。由于没有得到及时治疗,发生在根尖的炎症逐渐激化,中央骨质被炎症吸收液化并形成了一个具有囊壁的囊肿。“随着囊液增多,囊肿逐渐增大,不断向周围扩大压迫骨质,导致骨质吸收。如放任不管,囊肿会进一步增大侵及鼻腔,大量的颌骨吸收也会导致面部凹陷及骨折。”
经综合研讨,该院口腔科、耳鼻咽喉头颈外科、麻醉科多学科专家联合开展手术,为患者切除囊肿、刮除囊壁,并对受影响的三颗前牙进行根管治疗。
摔断牙不要用纸巾包裹
张歌畅介绍,牙齿外伤最多见的是因为摔倒,其次是交通事故、暴力行为和运动。根据不同损伤程度,从轻到重可分为牙震荡、冠折、根折、牙脱位。“陈女士这种情况属于冠折,如在外伤发生后定期复诊,可避免囊肿进一步增大侵压、多颗牙齿根管治疗,大大降低影响。”张歌畅说。
若遇到牙外伤中最严重最急切的牙脱位,普通市民应如何正确急救?“在急诊中经常见到患者一手捂着嘴巴、一手拿着纸巾包裹的牙齿前来治疗,但这种保存办法会起反作用。”张歌畅提醒,如果外伤后牙齿完全脱位于体外,如能立刻将脱位牙放回牙槽窝,是最好的选择。当条件不允许时,可以将脱位牙放入牛奶、生理盐水中,避免直接用手触碰牙根、用纸巾包裹或暴露在空气中。
因为牙齿脱落后,影响牙齿与牙槽骨结合的关键——牙周膜细胞会因干燥迅速坏死,如脱落后第一时间放入牛奶中保存,可有效延缓细胞死亡,为后续治疗争取时间,大大增加牙齿再植的成功率。
而对于生活中更为常见的牙震荡,专家则提醒,要定期复诊、动态监测牙髓和牙根情况,一旦发生变化及时干预。
文|记者 林清清 通讯员 廖温勃
图|医院提供