眼睛是感知世界最重要的窗口,然而突如其来的外伤却可能让这扇窗瞬间蒙尘甚至濒临破碎。近期,广州市花都区人民医院眼科救治了多例危重的眼外伤患者,挽救了患者的视力希望。
“深水排雷”,微创取出眼内“隐形炸弹”
43岁患者张先生(化名)在工作中被石子弹伤左眼,当即出现视力模糊、眼红、眼痛、畏光流泪。经急诊检查,诊断为“左眼眼球穿通伤伴球内异物、外伤性白内障”。
异物在眼内滞留,如同在眼球这个“深水区”埋下了一颗“隐形炸弹”,不仅会导致眼内持续感染风险,更可能造成视网膜永久性损伤。
时间刻不容缓!面对这一急症,眼科主任白建海带领眼科团队当晚为患者实施了急诊手术——“左眼玻璃体切除+白内障超声乳化摘除+角膜裂伤清创缝合+球内异物取出+气液交换+硅油填充术”。手术在显微镜下精密操作,首先缝合了角膜伤口,恢复部分虹膜结构,随后顺利摘除了外伤性白内障。最终在玻璃体内精准找到异物,并将其完整取出。

术后复查异物已完全取出,患者眼球结构稳定,为二期植入人工晶体等康复手术创造了条件。

突遭严重破裂伤,妙手施救保眼球
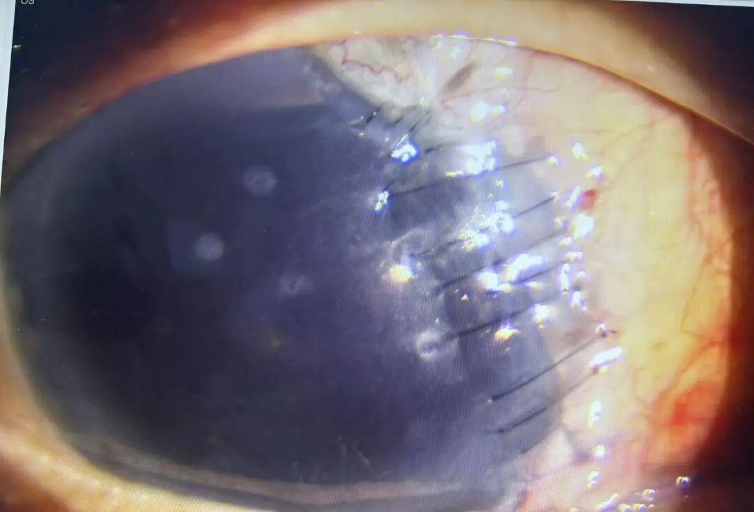
51岁患者李先生(化名)在工作时不慎被金属“起子”戳伤右眼,当即感到视力骤降,伴随眼痛、流血。经紧急检查,诊断为“右眼眼球破裂伤”,包括角膜全层裂伤、巩膜裂伤、前房积血、虹膜及玻璃体脱出、晶状体及虹膜缺失、视网膜脱离等复合损伤。
时间就是视力!眼科团队在接诊后第一时间完善术前准备,于受伤当天,由眼科主任白建海主刀,为患者紧急实施了“右眼角膜全层裂伤清创缝合术+巩膜裂伤清创缝合术+前房成形术+前房冲洗术+球结膜裂伤清创缝合术”,细致地清除了伤口异物,精准缝合长达10mm的角膜伤口以及全层巩膜裂伤,复位了脱出的眼内组织,为后续治疗创造了条件。

在一期手术稳定基础上,在白建海带领下,眼科团队于伤后一周成功为患者施行了二期手术——“右眼玻璃体切除+气液交换+视网膜复位+硅油填充+眼内激光光凝术+眼底探查术”。在精密的显微镜操作下,清除了眼内积血和病变玻璃体,成功复位脱离的视网膜,并用激光封闭裂孔。最终,李先生受损严重的眼球得以保留,术后恢复良好,为后续的视功能恢复奠定了宝贵的基础。

眼外伤科普小贴士,记得收藏!
眼外伤是指眼球及其附属器因受外力和锐器或钝器的损害,使其组织遭受破坏。眼外伤往往发生突然,后果严重。花都区人民医院眼科专家提醒:
预防第一:
在进行机械操作、装修、运动等高风险活动时,务必佩戴好防护眼镜或面罩,切勿心存侥幸。
紧急处理“四不要”:
不要挤压、揉搓受伤的眼睛。
不要自行尝试取出扎在眼球上的异物。
不要用水直接冲洗眼球(化学伤除外,需大量清水冲洗后送医)。
不要随意使用眼药膏,以免影响医生检查。
正确做法:
用清洁的眼罩或硬质材料(如纸杯)轻轻遮盖伤眼,避免压迫,立即前往最近具备眼外伤救治能力的医院就诊。时间就是视力,延误治疗可能导致无法挽回的视力丧失甚至眼球摘除。
专家简介
白建海
眼科负责人、医学博士、副主任医师

专业特色:对玻璃体视网膜疾病诊断和治疗有丰富的经验。擅长黄斑裂孔、黄斑前膜、复杂性视网膜脱离、糖尿病视网膜疾病及其他视网膜血管性疾病、眼内炎症、眼外伤等疾病的诊断和微创玻璃体手术,同时具有很高的白内障超声乳化人工晶体植入手术水平。
李强
主任医师

从事眼科临床工作30余年,曾在四川大学华西医院工作学习,师从多位著名眼科教授,有着丰富的临床经验,技术全面。任广东省医学会眼科分会委员,广州市医学会眼科分会常委,花都区医学会眼科专业委员会主委。擅长白内障超声乳化手术,处理各种复杂白内障病例,对青光眼、眼外伤、外眼整形、泪道手术等手术及眼表疾病、葡萄膜、视神经炎、眼底病、儿童及青少年斜弱视屈光不正等疾病的治疗亦较有心得。
眼科简介

广州市花都区人民医院眼科成立于1991年,是集临床教学、科研于一体的综合性科室。科室下设眼底病、白内障、青光眼、斜视、眼眶病、泪器病、眼表疾病等亚专科和青少年弱视、近视矫正亚专科。科室现有主任医师2人,副主任医师2人,主治医师5人,住院医师3人,其中1人拥有博士学位,5人拥有硕士学位。
目前,科室主要诊疗项目包括:玻璃体切割手术技术、白内障超声乳化联合人工晶体植入术、抗青光眼手术、斜弱视矫正手术、各类眼外伤手术、泪道手术、眼部肿瘤手术以及眼部整形美容手术。同时,科室还开展各类激光治疗(如糖尿病视网膜病变、后发性白内障及青光眼的激光治疗),各项技术均达到国内及省内先进水平。此外,科室还对眼表病、视神经病变及葡萄膜病变等眼内科疾病有丰富诊治经验。同时,眼科是多家医学院校的实习基地,承担了多项省市区级科研课题,并在国家级和省级期刊上发表论文数十篇。2010年,科室荣获地级市科学技术进步二等奖,另有两项课题获得区科技进步奖。
文、图|王沫依 吴嘉敏