子宫肌瘤是女性生殖系统中最常见的良性肿瘤,大部分子宫肌瘤都长在子宫内,但有顽皮一点的长到了子宫旁边的阔韧带上,不仅影响子宫的功能,长期下来还可能损伤肾功能。近日,患者吴女士(化姓)就确诊了阔韧带肌瘤,检查结果令人震惊——其肌瘤比一个成年男性的拳头还大。
八年后复查,子宫肌瘤比拳头还大
8年前,吴女士在体检时发现患有子宫肌瘤,当时检查结果提示已有5cm大小,由于工作繁忙,加上没有明显自觉症状,罗女士一直没有进一步求医。
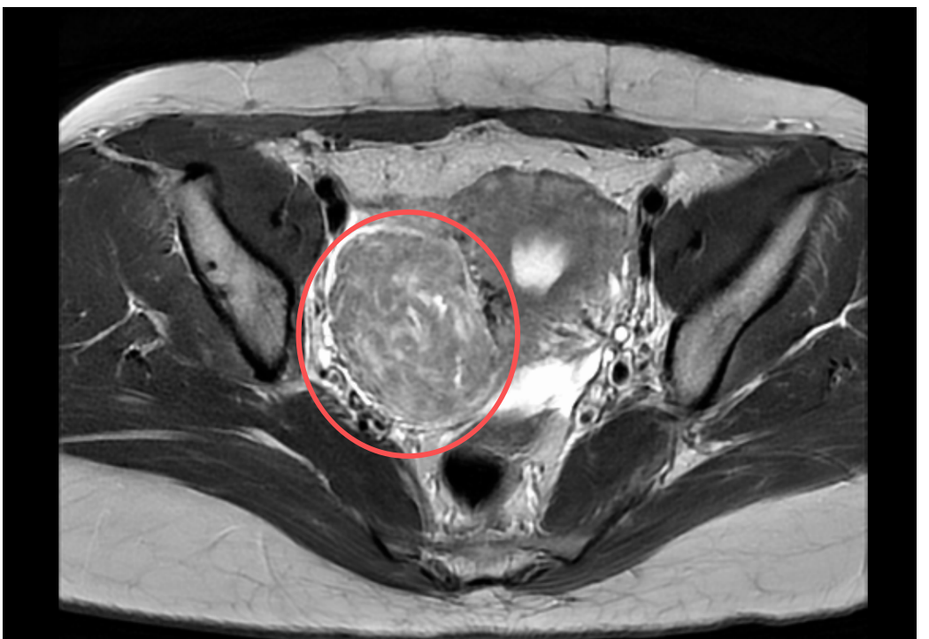
近1年来,吴女士的经期出现变化,月经量也比既往多了一倍,加上腰痛、尿频症状逐渐出现并加重,来到广州医科大学附属第三医院妇科门诊检查后发现,子宫肌瘤远不止一个,最大的一个堪比拳头,而且向阔韧带凸出,长在了子宫阔韧带上。

“阔韧带是维持子宫位置的重要韧带之一,此外,供应子宫的重要血管都走形其中,两叶间有丰富的疏松结缔组织,且输尿管也与其毗邻。”广州医科大学附属第三医院妇科主任、主任医师刘娟解释,阔韧带肌瘤是子宫肌瘤的一种特殊类型,由于阔韧带血供丰富,子宫肌瘤在此生长易“无拘无束”,一旦压迫输尿管,还会导致泌尿系统症状,长此以往甚至影响肾功能。”
吴女士既往曾经做过两次剖宫产手术,再次面对手术,她不免担忧起来。
微创手术助力精准“拆弹”
作为一种特殊类型的子宫肌瘤,子宫阔韧带肌瘤手术难度较高,除了术中易出现大出血,还需要精细解剖,避免损伤临近的重要组织和器官。
考虑到吴女士曾经做过两次剖宫产手术,盆腹腔粘连风险高,刘娟查体后综合罗女士的年龄及身体状况等因素,最终敲定“经脐单孔腹腔镜子宫阔韧带肌瘤剔除术”的手术方案,最大限度降低手术创伤和术后的痛苦。
据悉,传统开腹手术方式往往需要较大的切口,传统腹腔镜手术虽已实现微创,但腹部仍会留下3-4个小型切口,经脐单孔腹腔镜手术只需在肚脐开一个约3厘米的小切口,经由肚脐这个天然的通道进入腹腔实施手术,创伤更小,可以通过肚脐真正实现“无瘤原则”将病灶取出体外。
手术当日,刘娟全程精细化操作并严控出血风险,成功提出了巨大阔韧带肌瘤,术中出血仅20mL,且并未对膀胱、输尿管等周围脏器造成损伤。

在团队的呵护下,吴女士术后首日便可自主下床活动,次日便出院,回归了日常生活。

查出子宫肌瘤怎么办?
别担心,不是所有都需要手术
子宫肌瘤是女性常见的良性肿瘤,从全球范围看,育龄期女性的患病率仍处高位,由于部分子宫肌瘤无症状,难以察觉,因此在中国,与其20%-25%的诊断发病率相比,实际患病率可能过半。
子宫肌瘤的发病因素需综合考量,过早的月经来潮、肥胖、家族史、饮食等都可能诱发子宫肌瘤。
不过,面对一种良性肿瘤,刘娟提醒女性既无需谈“瘤”色变,也不能掉以轻心,“子宫肌瘤虽然有一定的恶变概率,但概率不高,实际上我们更需要担心其对健康带来的影响,并及时寻求医疗上的介入。”
刘娟举例表示,有的子宫肌瘤虽然个头不大,但长在了宫腔,可能会引起女性月经量增多,导致贫血,严重者影响生育。
文中提到的阔韧带肌瘤就是典型的案例,“这一子宫肌瘤长在了险要的位置,向前长会压迫到膀胱,出现尿频、尿急、排尿困难等情况,向下长会压迫输尿管,影响到肾脏的健康,如果压迫到盆腔的血管,可能下肢会水肿或静脉曲张。”这就是特殊类型的子宫肌瘤对健康可能造成的危害。
实际上,子宫肌瘤的风险需要综合评估,“如果没有症状可以定期观察,若出现一定症状或短时间内突然增大(例如一年内增加五厘米),就需要医学介入。”
对于患者来说,是否选择治疗首先需要明确的是子宫肌瘤是否对健康带来影响。“治疗是为了解决子宫肌瘤带来的问题,很多育龄女性担心治疗是否会影响生育力,但实际上子宫肌瘤很有可能是导致不孕不育的原因。”
也是因此,刘娟建议女性每年规律进行妇科查体,如已诊断有子宫肌瘤,更要密切关注身体状况的改变,定期复查。
文|记者 王沫依 通讯员 白恬
图|医院提供