吃饭频频嘴角漏食、左侧腿脚无力……广东阳江一68岁男子这一连串的异常症状背后,竟藏着一颗残留十余年的颅内“顽石”——一个近5cm的肿瘤已几乎完全钙化变硬,并挤压生命中枢脑干。
一般来说,恶性肿瘤通常以5年无复发作为临床治愈标准。不过临床治愈并不代表可以不再关注相关症状。医生提醒,有肿瘤病史者,即便已经健康生活了十多年,仍要注意定期复查。当身体出现异常症状时,要及时到正规医院就诊排查。

小症状拖成大隐患
来自广东阳江的黄伯(化名),曾在2013年因脑肿瘤接受过手术治疗,术后多年身体状况稳定。只是近两年来,黄伯开始发现自己出现左侧腿脚轻微不灵活、乏力的症状,他心里隐约怀疑是肿瘤复发,却因心存侥幸未及时就医。2025年以来,症状持续加重,从家到菜市场短短10分钟的路程,他中途必须休息才能勉强继续,同时还伴随反复头晕头痛。不过即便如此,黄伯也只是自行到药店购药、进行理疗来缓解不适。
生活中,老伴还发现黄伯吃饭时频繁出现嘴角漏米的情况,但家人都认为是年纪大了动作不协调,并未放在心上。直到近期症状愈发严重,日常活动受限,黄伯才决定来到广东三九脑科医院。
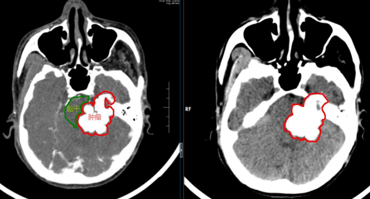
该院神经外五科学科带头人鲁明接诊后,结合患者的既往病史和影像检查结果,明确诊断为左侧桥小脑角占位性病变,肿瘤挤压脑干,导致患者出现左侧肢体无力、左脸偏瘫、嘴角漏食等症状。

有肿瘤病史者要定期复查
“脑干作为人体的‘生命中枢’,掌控着呼吸、心跳等基本生命体征。”鲁明建议立即手术切除肿瘤,一旦受压加重,不仅会导致肢体瘫痪,更可能引发脑疝,危及生命。
手术过程中,鲁明发现,患者颅内肿瘤坚硬如石头,与周围神经、血管及脑干组织粘连紧密,再加上患者有过脑肿瘤手术史,颅内情况更为复杂,进一步增加了手术难度。
经过十余小时的奋战,手术团队终于成功将一个34mm×49mm×34mm的“石头状”肿瘤切除,脑干及周围神经、血管功能得到有效保护。术后,黄伯恢复情况良好,虽说话声音仍较轻微,但生命体征平稳,正在逐步康复中。
为何肿瘤会变成坚硬“顽石”?鲁明分析,这颗肿瘤大概率是此前未能完全切除的残留组织,十余年来在颅内缓慢生长,逐渐钙化变硬,最终形成了“顽石”。
“部分颅内肿瘤早期症状可能不典型,但随着肿瘤增大挤压重要脑组织,会引发严重并发症,甚至危及生命。”鲁明提醒,对于有肿瘤病史的患者,定期复查至关重要。当身体出现异常症状时,一定要及时到正规医院就诊,切勿自行用药拖延病情。
文|记者 林清清 通讯员 张小美
图|医院提供